Метод Рамзи
Пол малышаЕсть тут эксперты по методу Рамзи?)
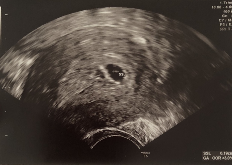
Узи трансвагинальное, 5+5 срок.
На всех примерах, что видела, эмбрион либо слева, либо справа, а мой тут посередине бултыхается )
Хорион - белая область то ли справа, то ли слева? 🤔
В общем, нужна помощь зала!))

Ольга
Похоже , что мальчик . Но официальная теория рассматривает срок строго от 6 до 8 недель
30.07.2020
Ответить
Анастасия
У меня следующий прием на сроке 7+5, возможно, там получше будет видно.
30.07.2020
Ответить
Юлия Sonnце
Суть метода в расположении хориона, а не эмбриона)) У Вас по правой стороне, насколько вижу. Значит, мальчик, согласно этому методу.
27.07.2020
Ответить
Анастасия
Просто смущает, что желточный мешочек сверху.. я думала, он рядом с хорионом должен быть 🤔
27.07.2020
Ответить
Юлия Sonnце
Вот кто его знает?)) Тогда ждать, когда подрастёт хотя бы до 12 недель)) по половому бугорку будем гадать😉
27.07.2020
Ответить
Анастасия
😀 хорошо бы, но вот с сыном у меня не было фоток узи в таком ракурсе, где виден бугорок 🤷🏻♀️
Так что ждать до 20 недель, до ноября 😆
27.07.2020
Ответить
Юлия Sonnце
Ну, так можно же сделать в этот раз. Первый скрининг в 12-13 недель ведь. Или у вас как-то по-другому в Германии?
27.07.2020
Ответить
Анастасия
В Германии скрининг первого триместра с 8+0 до 11+6. Делают его очень быстро, 5 минут и готово.
И вот фотка сына на сроке 8+5
27.07.2020
Ответить
Анастасия
И в Германии врача запрещено говорить пол до 14 недель (когда уже нельзя делать аборт) 🤷🏻♀️
27.07.2020
Ответить
Юлия Sonnце
А самой сходить на УЗИ внепланово? И раздобыть такую фотку в профиль, где бугорок видно?
27.07.2020
Ответить
Юлия Sonnце
Ну, ок))
А в РФ, когда хочешь - тогда и делай)) Ну, в смысле, по назначению врача, конечно, полагается три скрининга. Но если хочешь что-то конкретное посмотреть, беспокоит что или просто так - платные клиники, пожалуйста.
27.07.2020
Ответить
СчастливаяМама
У нас нет такого, хотя иногда так хочется))
Но в принципе при желании врач платно тоже делает дополнительные УЗИ, но вот пол не говорят до 14 недели. Даже если НИПТ сделаешь, результат сразу скажут, а пол после 14+
27.07.2020
Ответить
Юлия Sonnце
Да спрашивать у врача не обязательно, если есть фото с нужного ракурса.
28.07.2020
Ответить
Юлия Sonnце
Как всё сложно у вас 😊 Хотя я понимаю смысл не говорить пол до 14 недель. Есть же такие дамы, которые хотят не ребёнка, а мальчика или девочку конкретно.
28.07.2020
Ответить
Анастасия
Это в основном в арабских/турецких семьях такое. Мальчик-наследник нужен, все дела. Вот из-за них и не говорят всем остальным 😔
28.07.2020
Ответить
Gohi
А ещё пишут, что надо метод узи знать. Потому что если через живот, то надо в другую сторону 😆
27.07.2020
Ответить
Gohi
Полезла гулить, что за фото, но по узи ничего не могу понять, ни по вашему, ни по примерами в интернете 😆
27.07.2020
Ответить
Юлия *
Плохое фото, рановато. У меня были на нужных неделях фотки дочек, обе совпали)
27.07.2020
Ответить
Анастасия
На каких нужных неделях? Метод работает на 6-7 неделе, у меня 6 неделя)
27.07.2020
Ответить
Юлия *
Полных 7 недель отлично видно. Вот наше фото было в 7 нед. Есть что разглядеть)
27.07.2020
Ответить
Юлия *
мне как после УЗИ выдали фотку, сразу своему сказала, что девочка похоже опять)
мне как после УЗИ выдали фотку, сразу своему сказала, что девочка похоже опять)
27.07.2020
Ответить
ANASTASIA
Простите что лезу но Вы эксперт.я уверена.гляньте что там у меня? Я вообще ничего не соображаю.узи 5 и 6д
27.07.2020
Ответить
Юлия *
О, я совсем не эксперт)))) И вижу только на очевидных фото. У вас очень маленькое, простите 😔 возможно девочка
27.07.2020
Ответить
Лёся
Ого, не думала, что хорион такой большой. А это нормально, что контуров не видно?
27.07.2020
Ответить
Лёся
Подруга попросила узнать, поскольку тут знающие люди есть: узи на 5+6
Посмотрите, пожалуйста))
27.07.2020
Ответить
Лёся
Контуров хориона. Он ведь на узи виден как более светлая область вокруг плодного яйца, верно?
27.07.2020
Ответить
Юлия *
Видно на не редактированный фотке. И контуры не всегда четкие, но он определенно выделяется. Ну и к вопросу нормально это или нет - моя третья дочь со мной)))) Так что нормально)))
27.07.2020
Ответить
Лариса
Юлия *, это узи по животу? Если вагинально, то не совпал же с вами метод.
09.12.2024
Ответить
Анастасия
А в 8 с хвостиком работает еще?)
Это узи сына:
А вот первое узи с ним, на 5+5:
А вот первое узи с ним, на 5+5:
27.07.2020
Ответить
Надя
Юлия *, у вас тут вообще будто на мальчика (если вагинально), так как хорион слева. У автора фото перевернуто. Если вернуть в правильное положение, то у нее мальчик, так как хорион слева.
И тут девушки тоже фото перевернутые отправили.
20.11.2024
Ответить
Мама Наташа
Ой, Юленька, а Вы можете на мою фотку глянуть? Я вчера тоже пост в дневнике чирканула о Рамзи, попросила помощи зала, но мне так никто и не написал. В моем дневнике последний пост. Спасибо заранее😉🌷
27.07.2020
Ответить
Ма Мышуля
Юлия *, я прошу прощения , что влезаю в разговор, но смотрю Вы прям действительно у Всех угадали) не могли бы Вы посмотреть и мою запись?
https://www.babyblog.ru/user/i...
05.01.2022
Ответить
Иринка следующая будет дочка
Юлия *, а сне посмотрите кто у нас. Правда узи по животу сделали
22.11.2022
Ответить
Kulik
У меня по этому методу должна быть девочка, а по факту мальчик. Так что не верю я ему(((
27.07.2020
Ответить
Kulik
Мне не делали его трансвагинально. Но во всех заключения написано: харион по передней стенке с левой стороны. С левой стороны должна быть девочка.
27.07.2020
Ответить
Gohi
Это на трансвагинальной картинке девочка слева, а абдоминальная картинка справа. Трансвагинальной надо зеркалить, если говорить о картинке, а в заключении уже пишут как по факту.
27.07.2020
Ответить
Aigulya
Блин так и не поняла, прошу прощения что вмешиваюсь, у меня слева, УЗИ вагинально, это девочка или мальчик?)
28.07.2020
Ответить
Aigulya
На снимке с УЗИ слева) в заключении не написано, просто по передней стенке
28.07.2020
Ответить
Kulik
Я поняла, что учитывается расположение хариона относительно матки, в заключении указываются все эти дела тоже относительно матки. А меняется только картинка в зависимости от проведения узи. Но это ведь не меняет расположения хариона. В заключении узист все равно напишет его учитывая способ проведения исследования.
29.07.2020
Ответить
zasedka13
Почитала ваши доводы, вопрос всё-таки такой:
"Если плацента (хорион) располагается в правой стороне матки ( т.е. у правого вашего яичника), то с точностью 97,2% рождается мальчик, наоборот - девочка"
Это верно я разобралась?🙈
УЗИ то бывают на разных аппаратах и суть тогда может путаться
29.07.2020
Ответить
Kulik
Ну не знаю, в статьях написано следующее:
"Если плацента располагается в правой стороне матки, то с точностью 97,2% рождается мальчик.
Если плацента располагается в левой стороне матки, то с точностью 97,7% рождается девочка."
28.07.2020
Ответить
Gohi
А это по картинке он с левой или с левой стороны где у вас левый яичник?
Я рассуждаю так:
Где у вас правый яичник? Условно расположить там плаценту, а в центр имбриона. Получается если смотреть на ваш живот со стороны лици (абломинально) для смотрящего (соответственно и картинка узи) хорион слева от эмбриона, а значит и на картинке узи слева. Мальчик.
Если мы делаем трансвагинально, то картинка зеркалиться, мы смотри со спины и тогда условно правая сторона смотрящего совпадает с вашей правой стороной. То есть слева о хориона эмбрион, а хорион от эмбриона справа 😆😵😵
Не ради спора, просто поболтать)))
Голубого маркера не было
28.07.2020
Ответить
Kulik
Мой левый яичник слева:) это там где вся левая сторона тела. ( как на вашей картинке) Я так понимаю, учитывается расположение хариона относительно матки.
И слева, это значит слева. И то что на УЗИ картинка будет отзеркалена при трансвагинально методе (или наоборот) , не изменит положения по факту.
28.07.2020
Ответить
Gohi
Это да 😆 но мы тут эксперты не видим вашего узи, может узист косорукий)))) как же так не совпало! шутка)))
28.07.2020
Ответить