Метод рамзи
Приметы, сны и суеверияскоро Уже первый скрининг и хочется немного побаловаться 😅
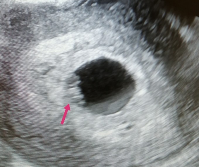
Кто разбирается в этом методе,в интернете написано по месту прикрепления хориона,а как он выглядит то
Может кто то глянет ?
Тут срок 7+4 трансвагинально

Джу
Ерунда этот метод, мне все говорили, что мальчики (от узи 8 недель, как раз подходит для метода)и по всем остальным методам выходили мальчики, кроме какой-то одной таблицы- оказались девочки, сказали на узи на 16 неделе уже точно. Не верю я в эти методы) и про еду и про все остальное, только узи на сроке после 15 недель или кровь на определение пола после 10 недель)
13.10.2020
Ответить
Валерия
Да это же так
От скуки)
Я к этому тоже с легкостью отношусь
Мне так 6 детей нагадали на иголочки😂
13.10.2020
Ответить
Анастасия
Как я поняла , если справа то девочка
Если слева то мальчик
У меня совпало 😄
13.10.2020
Ответить
MarinaD
Смотрят на ранних сроках, у вас уже плацента, а не хорион)))) так что ждите ещё месяц 😉
13.10.2020
Ответить
Валерия
Читала что до 8 недель спокойно можно посмотреть😅
Просто самое ранние это с 5 недель где только плодное яйцо 😂
13.10.2020
Ответить
MarinaD
У вас уже очень чёткие края, хорион как облачко светлое вокруг яйца.
Вот кстати моя девочка по Рамзи мальчик! Туфтатень немного))))
Вот кстати моя девочка по Рамзи мальчик! Туфтатень немного))))
13.10.2020
Ответить
Валерия
Да понятное дело,это как с признаки
И по форме живота гадать
Это так от скуки уже
Дотерпеть две недели там уже хоть что то предполагать можно,а уж точно только после родов узнаём 😅
13.10.2020
Ответить