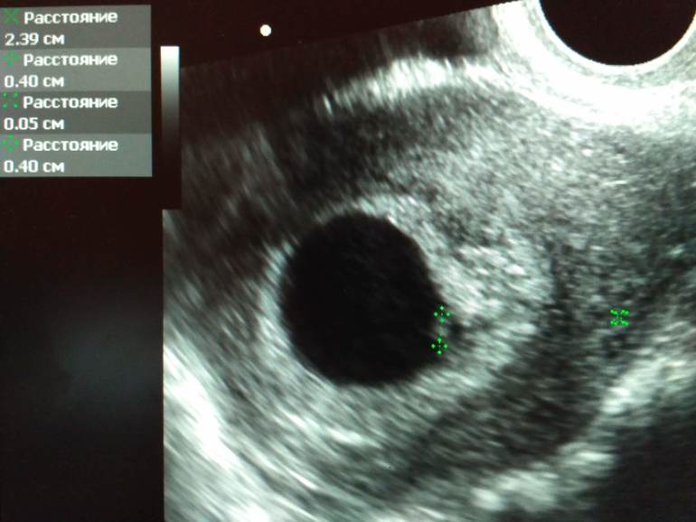
УЗИ 6+5
УЗИ, КТГ, доплерВчера наконец-то попала на УЗИ. Хотела раньше, но не получалось. А теперь думаю, что хорошо, что не получалось- раньше могли и сердечко наверное не услышать... Такая манюня у меня там оказалась.
Пока переживаний только добавилось, т.к. и плодное яйцо и хорион вроде моему сроку соответствуют, а вот эмбриончик совсем малюсенький - ктр 4,2мм. Я ожидала, что больше будет, тем более, что ХГЧ рос очень быстро, и цифры были высокие...Думала, что наоборот опережает немного срок, а оказалось отстает...:(
УЗИстка поставила срок 6 недель и сказала прийти еще через две недели.

Лучший ответ
Оля Шевченко
Где то читала, что если ктр немного отстаёт от срока, то будет девочка. А если наоборот, превышает, то будет мальчик.
Не знаю, на сколько правда)
Лёгкой беременности Вам!
04.12.2020
Ответить
НЮША (ник в ИГ Visla79)
У пеня дочки все, с кем делала узи на этом сроке, отставал тоже на 3-4 дня и потом было отставание на 1-2 дня, хотя овуляция была не поздняя. Сейчас малыш на первом узи чётко сроку соответствовал, а на последующих опережает на 2-3 дня.
04.12.2020
Ответить
Мария
Может тоже дочка?...) А по методу Рамзи кто? Вы кажется в этом разбираетесь?))
04.12.2020
Ответить
НЮША (ник в ИГ Visla79)
По Рамзи дочка у вас. Но я уже не верю в этот метод, мне в 6.2 на узи дали 2 фотки узи одно🙈
Сверху мальчик 100%, а на нижней фотке 100% девочка
04.12.2020
Ответить
Мария
Интересно почему так получилось? Видимо изображение поворачивали как-то, чтоб удобней рассмотреть?...
04.12.2020
Ответить
НЮША (ник в ИГ Visla79)
Кто же его знает. Поэтому я не верю теперь. Либо у меня малыш загадочный🙈😂😂😂
04.12.2020
Ответить
Мария
Смутило, что соответствует 6 неделям, а у меня 6+5... Но да- надеюсь, что догоним еще. Главное, что сердечко бьётся:)
04.12.2020
Ответить
Татьяна
Мария, к 12 неделям детки догоняют акушерский или даже перегоняют. В 6+6 мне тоже поставили 6 недель и ктр 4мм, а на первом скрининге в 12+3, поставили срок 12+6.
04.12.2020
Ответить
Anastasia
У меня на сроке 6 и 6 был 6.6 мм. Что соответствует сроку 6 и 3. А через неделю, в понедельник сходила еще и уже почти на неделю опережаем, по месикам было 7 и 5, по узи 8 и 3.ктр 18 мм. Все у вас хорошо.
04.12.2020
Ответить
Victoria
У меня на сроке 6,6 неделек ктр вообще был 3мм, а через 10 дней (8 недель) вымахал до 15 мм и уже сроку соответствовал:) так что вообще не думайте за это
04.12.2020
Ответить