Девчонки привет!!! Кому не трудно можете сказать похожи ли фото)
У нас получилось! Я беременна!
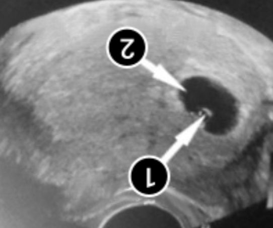
Сразу говорю одно изображение перевёрнуто ,мне не главное ,что бы вы сказали это разное фото и ТД ,это для сравнения)))
Лучший ответ
Светлана
А в сем собственно вопрос? Найти 10 отличий или что вас интересует?)
06.12.2021
Ответить
Светлана
Азиза Себединова, а врач вам что сказала? На похожем узи была белая полоска. Мне не стали утверждать что это эмбрион, через 6 дней переделала уже был эмбрион и сб.
06.12.2021
Ответить
Азиза Себединова
Светлана , Все уже узист сказала это эмбриончик маленький, успокоили отлегло ,на сб иду через недельку ❤️
06.12.2021
Ответить
Tania Vaida
Конечно, эмбрион есть, только зачем ставить под сомнение слова специалиста...непонятно
06.12.2021
Ответить
Азиза Себединова
Tania Vaida, я не ставлю) у меня сомнение в друго - тянут с меня деньги - потому что она сказала эмбриона нету вообще) я же вижу что есть ,сказала повторно придти через 6 дней)
07.12.2021
Ответить
Tania Vaida
Азиза Себединова, какие деньги 15 долларов? Это же Ваше спокойствие , не хотите не делайте, если до скрининга сможете вытерпеть
07.12.2021
Ответить
Tania Vaida
Азиза Себединова, это одно и то же фото, и да, плодное яйцо определенно не пустое
07.12.2021
Ответить