Вопросы после первого скрининга 🙏

Лучший ответ

ну вам же сказали- половой покой,не знаю как у кого,но ведь сперма размягчает и укорачивает шейку ,зачем вам на таком сроке рисковать.
14.02.2022
Наталия мама дочки, Мне сказали "половой покой". Но интим бывает разный. Решила уточнить тут что конкретно можно и чего нельзя, чтобы не рисковать.
14.02.2022
Настя, вот и практикуйте этот разный интим. Про оргазм без секса у врача не всегда удобно спрашивать)) при перекрытии зева и при маленьком растоянии (плацента до шейки ниже чем 28 мм ) то по протоколам КС. Наши врачи и при немного больше 28 мм перестраховкются. Я родила на 41 неделе ЕР. Плацента редко поднялась на последних неделях до 4-5 см Риск кровотечение при сексе потому что может быть отслойка проценты при проникновении я так поняла
14.02.2022
Юлия, спасибо большое за ответы )
14.02.2022
Наталия мама дочки, мой мог и каждый день баки свои спускать , но ничего не укорачивалось , только поднималось
14.02.2022
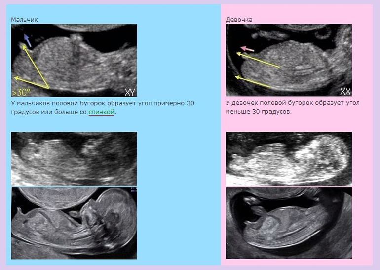
Ничего там не болтается ни у мальчиков (лихо Вы про письку выразились😂), ни у девочек на таком сроке. Есть только половой бугорок, по наклону которого можно предположить, кто получится. Они очень похожи, правда. Смотреть надо в профиль. Изображение Вот так. Могу глянуть, но ничего на 100% не обещаю)) У моего пенис увидели на 15 неделе, например, но дали небольшой процент, что пуповина затесалась в кадре. Потом на 2 скрининге в полных 18 недель уже точно всё разглядели.
14.02.2022
Юлия Sonnце, Спасибо огромное за ответ) Но я ничего не понимаю по этим фото(( Если я выложу сюда, Вы сможете хоть чуточку предположить? )
14.02.2022
Настя, могу, если фото хорошее и бугорок не закрывает ножка))
14.02.2022
Ой не могу, представляю ваше нетерпение узнать пол. Через три недели все будет видно. А ещё если мальчик то наверняка. Предлежание плаценты не переживайте, на 12 недель это совсем не показатель. У меня вообще особая история, Плацента была низко до 36 недели. А в 40 недель уже достаточно поднялась для естественных родов. Но я контролировала каждые две недели узи на хорошем оборудование последний месяц перед родами. Оргазм вроде не вреден, вреден сам классический секс.
14.02.2022
Юлия, Спасибо огромное за ответ. Да, жутко не терпится)) Ели до первого скрининга дотерпела) Я вообще ждать не люблю)))) Я очень рада, что у вас все сложилось хорошо. А это грозит кесаревым чтоль? Или вообще чем? Про оргазм я подумала так....ведь не поднимать тяжести, какие либо нагрузки ...это напряжение мышц, что опасно...оргазм же тоже сокращение матки...и теперь переживаю за это. Еще и ГСД((( Дожила))) есть что хошь нельзя, сексом нельзя заниматься)) )))
14.02.2022
Настя, у меня половой покой был во вторую беременность из-за ицн (короткая шейка, стоял пессарий) с 20 недели + два месяца после родов. Тут уж надо выбрать, что важнее: несколько минут радости или ребёнок)) думаю, ответ очевиден.
14.02.2022
Юлия Sonnце, конечно даже не обсуждается. От незнания темы сейчас собираю информацию от знающих.
14.02.2022
Юлия, вреден оргпзм , так как при оргазме идет моеращение мышц матки
14.02.2022
У меня показало пол на 13 неделе. Но ещё есть такая проблема что даже девочку можно перепутать с мальчиком) не помню как называется, но там трубочка отходит...толи пуповина толи что😅 А за плаценту у меня тоже так было))) не переживайте и не грузитесь)))) сделаете позже узи) сейчас рано говорить о поле ребенка) у меня 8 неделя, вторая беременность и сегодня иду на узи проверять есть ли сердцебиение))) вот уж страшно)) С праздником 🥰💖
14.02.2022
Екатерина Карнаух, Спасибо огромное за ответ) Желаю Вам отлично сходить на УЗИ и я уверена , что у Вас все замечательно) ждем ответа по узи с сердечком
14.02.2022
Сдайте кровь на выявление y-хромосомы, если вас так сильно волнует пол будущего ребёнка. Про половую жизнь вам нужно спрашивать не на форуме, а у врача, если не хотите навредить малышу.
14.02.2022
Половой бугорок - это то, что станет половым органом. Половой покой - значит покой, ничего нельзя, тем более испытывать оргазм.
14.02.2022
Плацента была низко на первом узи, на втором чуть поднялась, на третьем еще выше стала. Все отлично прошло. Пол можно по крови узнать, как и риски.
14.02.2022
Поздравляю с хорошим скринингом) У меня тоже плацента низко. Причем врач сначала сказала, что зев перекрывает, но потом вагинально посмотрели, оказалось, что нет) Но все равно низко 14 мм от внутреннего зева. Мне мой врач сказал не заморачиваться, она поднимется) А врач узи да говорила, что если будет перекрывать зев, то надо беречься, не допускать тонуса, не поднимать тяжестей иначе может кровить начать.
14.02.2022
желаю вам удачной беременности и легких родов , мужчине сил , долго же ему придется терпеть , мне запретили в 36 недель и до мамых родов заниматься интимом , так мой муж такой , а че ? в смысле ? а после родов и месяца не вытерпел , а нужно было терпеть 2 месяца , бедные мужики .
14.02.2022
Любка , зачем терпеть? Существует много других способов удовлетворения. И почему всегда всё списывают на "бедных мужчин"? Половая конституция у всех разная, женщинам тоже хочется и терпеть тяжело)
14.02.2022
VSV, для нас другие способы не приемлемы , да и женщине проще вытерпеть чем мужчине , тем более во время беременности терпеть еще легче
14.02.2022
Любка , спасибо большое) Конечно муж у меня никогда не обделен) я за себя переживаю) тоже же хочется)
14.02.2022
Настя, нам проще вытерпеть
14.02.2022
Плацента поднимается к сроку 28 недель у большинства. Ну как видите у меня было где-то 38. Единственное на что влияет плацента - Риск кровотечений при физических нагрузках и прочих и родоразрешения кесарево.
14.02.2022
Юлия, поняла. Спасибо большое за ответ)
14.02.2022
Оставшиеся комментарии доступны после регистрации
Зарегистрируйтесь и получите полный доступ ко всем функциям сайта.
Может ли тест на беременность реагировать на овуляцию? Колики