Узи на 22 ДПО❤️
УЗИ, КТГ, доплерДевочки всем привет💓
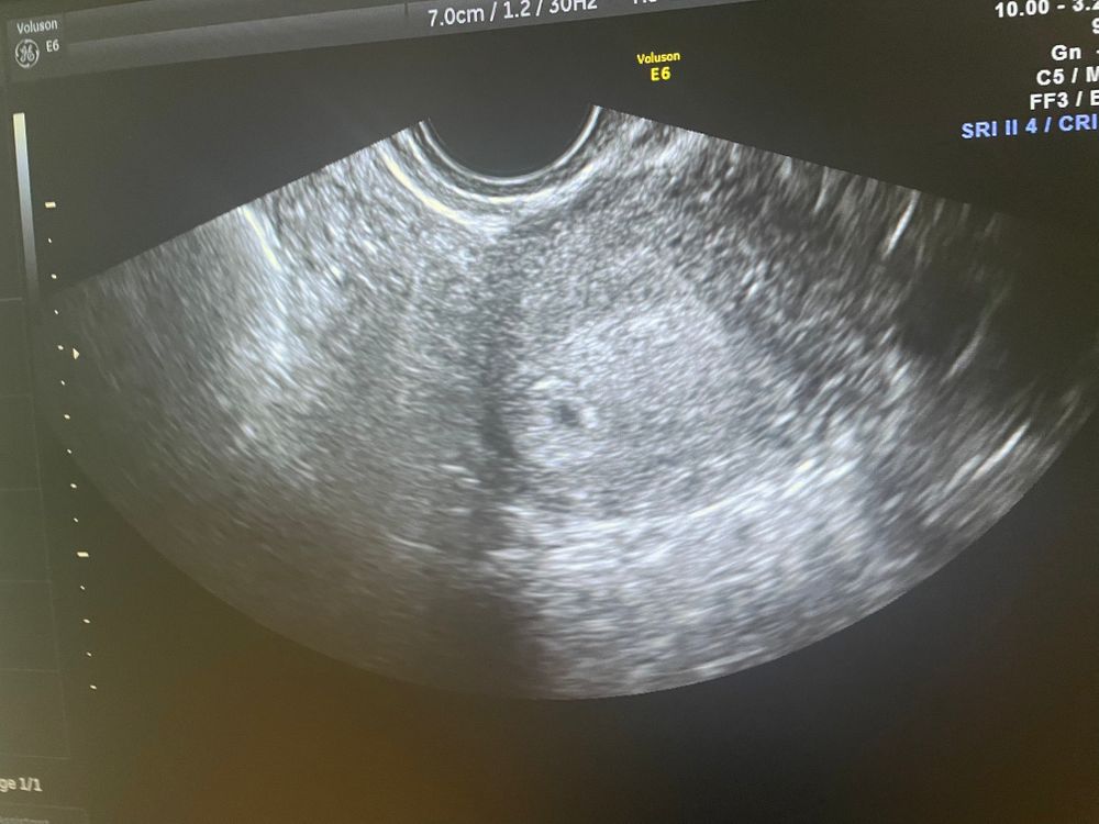
знаю, что очень рано я пошла на узи, но это первая беременность, хочется знать что все в порядке, хотела исключить внематочную беременность.
Плодное яйцо 5.2 мм, врач была немногословной, толком ничего не сказала.
кто ходил рано на узи сколько был размер плодного яйца?💓поделитесь, пожалуйста!
Лучший ответ
Минни маус
Легкой беременности вам , Анастасия 🌸🙏🏻😍
09.08.2022
Ответить
L
Замечательная точечка, пусть растёт 🥰
Тоже была на раннем узи, всего на 6-7 день задержки
08.08.2022
Ответить
Маргарита
5,2 мм соответствует сроку 5 недель и 2 дня или 23 ДПО.
Все у вас отлично.
08.08.2022
Ответить
Анастасия
Selena, спасибо большое за ответ )) теперь буду ждать и пойду вставать на учёт в жк, надеюсь, там не страшно 😁
08.08.2022
Ответить
Selena
Анастасия , нет))) лазить к вам они не должны.как говорить нечего там лазить))) а вообще начинается работа))) хождение по врачам. Ну и обратите внимание на свою кровь, что бы густой не была, сахар, щитовидка. И вообще! Наслаждайтесь своим пузиком!! Легкой беременности💖
08.08.2022
Ответить
Чаты Беременных
Выберите чат: