УЗИ на 13-ой неделе.. кто же?!)

Лучший ответ

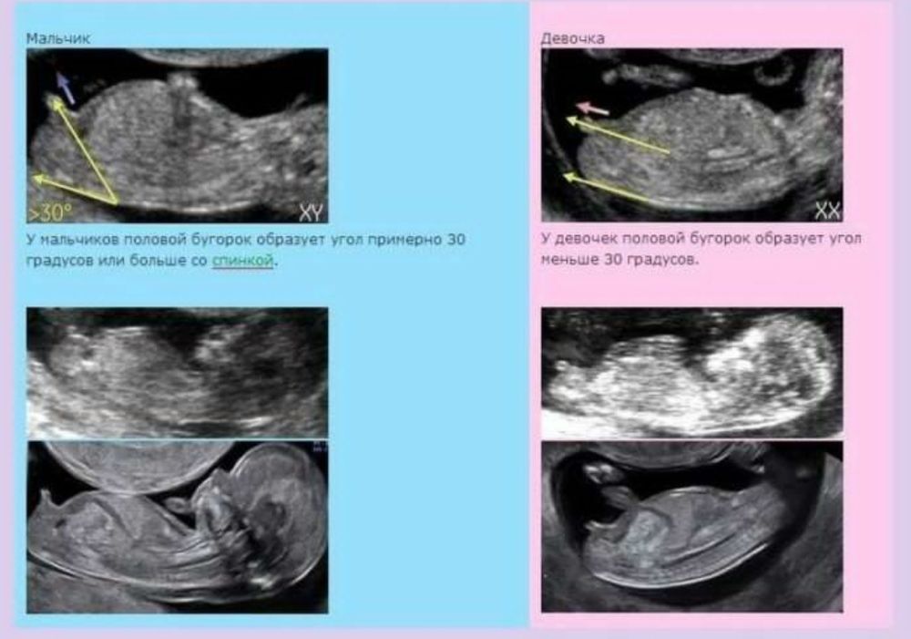
Изображение Я мало в этом понимаю, но вроде когда писюня смотрит под углом вниз вроде девочка, а если вверх, то мальчик. Там явно вниз.
13.11.2022
Девочка
13.11.2022
Девочка🥰 у нас такая же штучка вверх торчала😁
13.11.2022
Девчуля!🥰🌸
13.11.2022
Пока похоже на Девочку, а вообще рано делать выводы
13.11.2022
девочка
13.11.2022
Девочка)
13.11.2022
Я за девчонку
13.11.2022
Кажется девочка, если то, что я вижу - половой бугорок)
13.11.2022
Я за девочку)
13.11.2022
Утолщение плаценты Утолщение плаценты