Беременность 7 недель, по УЗИ 5

Лучший ответ

Мне кажется Вас запутала УЗИст-)) Переделайте УЗИ через пару недель. И срок гинеколог всё равно будет по месячным считать...До первого скрининга так точно больше не на что ориентироваться.
22.05.2023
Наталья, моя Г, она же и Узист. Она и на кресле и на УЗИ смотрит
22.05.2023
Если вам нашли эмбрион и сб,то срок как минимум 6 недель,в 5 акушерских недель нет ещё эмбриона,врачи какие-то сроки странные ставят,в первом УЗИ 3 недели у вас срок не акушерский,а от зачатия,т.е там уже 3 от зачатия и 5 акушерских
22.05.2023
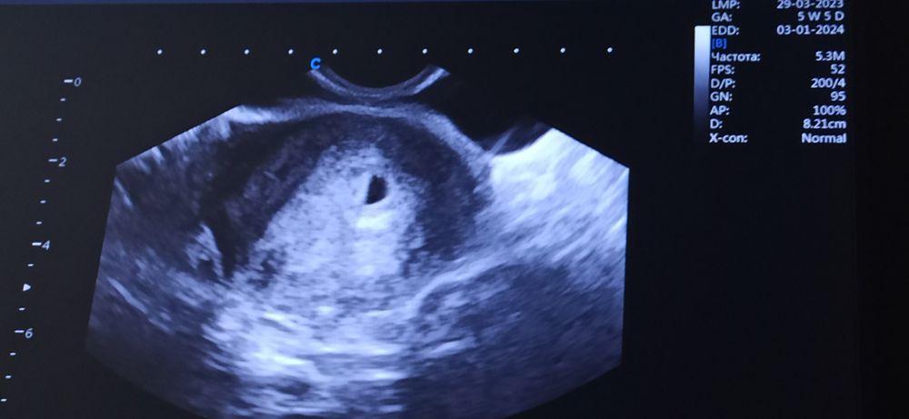
Марина, вот фото. Первое в 5+5 по М, второе в 7+2 по М Изображение Изображение Врач у меня, она же и узи делает. Вот последний ХГЧ Изображение Вот я и думаю, как считать. Понимаю, же от М надо. Она, правда, сказала, что должно выровняться во втором триместре... Ну не знаю. Вот и думаю, переделать в другом месте. И послушать другое мнение. Просто вопрос когда, на каком сроке лучше.
22.05.2023
Если есть эмбрион и сб то это явно не 5 недель а больше.в 5 недель жм не у всех находят.я бы посоветовала сходить позже в другое место на УЗИ.Или просто ждать скриниг
22.05.2023
мария, спасибо, так и сделаю.
22.05.2023
Переделайте лучше УЗИ в другом месте)
22.05.2023
Елизавета, спасибо, думаю, что так и сделаю
22.05.2023
Подождите недельку и сходите на платное узи. В 5 недель сердце крайне редко слышат, его советуют ближе к 7 неделям смотреть
22.05.2023
Людмила Пурик, так сердечко бьётся, тут всё хорошо. По М у меня 7 недель. А по УЗИ 5, но сказала что теперь срок нужно считать не по М, а как по УЗИ...
22.05.2023
Антонина Соколова, я прочитала, что у вас есть серцебиение, но в 5 недель его еще не может быть слышно. В 5 недель только эмбрион видят и то не всегда. То ли узист вас запутал то ли вы что-то не поняли. Поэтому передайте в другом месте и не будет загадок
22.05.2023
Акушерские это от первого дня месячных. Вы не написали когда были они. А так врач будет ориентироваться на узи конечно. Потому что овуляция скорее всего была поздняя. Зачем вам торопиться. Пусть как по УЗИ.
22.05.2023
Elena, были 29.03. Ну я писала срок по ним..
22.05.2023
Антонина Соколова, акушерские 7,6 у вас сегодня. Попозже сделаете УЗИ. Или дождетесь первого скрининга. У меня ранняя была овуляция. По УЗИ плюс одна неделя. Но я все равно по акушерской.
22.05.2023
Elena, 7,5.. та вопрос же не в акушерском сроке, а в несоответствии. И врач теперь сказала считать от УЗИ, а не по М.. вот я и не догоняю
22.05.2023
Антонина Соколова, все правильно от УЗИ) считают по узи хоть меньше, хоть больше недель получается. Главное к концу, чтобы ребенок дозрел. У вас на первом скриннига все сдвинется как надо. Вот меня на второй скринниг отправили раньше на неделю. Им важнее по УЗИ.
22.05.2023
Elena, ну, мне врач тоже сказала, что должно всё сравняться.
22.05.2023
Мне разные узисты разные сроки ставили, сходите ещё к одному)
22.05.2023
По-моему, точный срок никак нельзя узнать. Если у вас быть регулярный цикл до беременности, то считать всегда будут от первого дня последних месячных (при том, что данные по УЗИ могут разниться). У меня срок по УЗИ меньше на ~неделю. Переделывать УЗИ смысла не вижу. Первый скрининг можно делать начиная с 11 и заканчивая 13 нед., поэтому тоже в этом никакой проблемы не наблюдаю🤷🏼‍♀️
22.05.2023
Олеся, да тут вообще интересная ситуация. Начиная с июля цикл был 27-29 дней, но чаще всего 28. Беременность эта получилась случайно. Мы планировали, но немного позже, так как у меня ещё на 2-3 месяца было лечение связаное с эндометриозом и обильными очень М. И тут у нас "случайно" не защищёный ПА как раз на 12-13 ДЦ. И потом аж через неделю. Но в тест показал еле еле заметнвй призрак только на 2 ДЗ и слабую, но уже различимую, на 4 ДЗ. На УЗИ поняли что попали именно во второй раз и овуляция была поздняя,а значит и цикл сбился..
22.05.2023
Когда могу родить с такими данными ? (37,5 Нед) Путаюсь в акушерских и эмбриональных неделях