УЗИ 58 дпо(10+1)❤🤞🤞🤞
УЗИ, КТГ, доплер



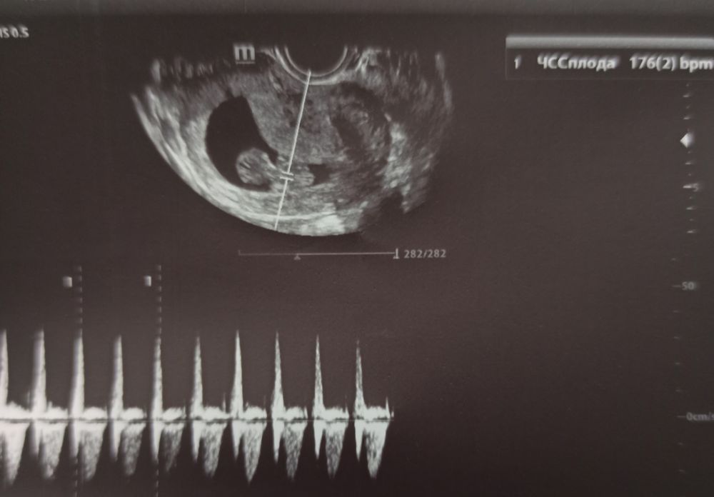
Сегодня 12 апреля на 57 дпо ( 10 недель и 1 день) на УЗИ: ПЯ 59 мм, КТР 38 мм, ЧСС 174 уд/мин, ЖМ 5,5 мм, киста ЖТ 25*23 мм, опережаем на 4 дня, видела как шевелил ручками и ножками человечик, и также врач показала с разных ракурсов мальчишеский писюлëк, мне даже кокошки показались, но для них наверно ещё рано, пока мне не верится, неужели это и правда СЫН 👶 дракончик 🦕 скорпиончик 🦂 Слушаю домашним допплером сердечко с 9+4❤ , пишет 170-180 уд/мин, совпадает с данными УЗИ. На самом нижнем фото врач показал слева это ножки и стопы две вместе, а справа это попа и писюлька( вид снизу), я сама бы не поняла что это.
Лучший ответ
Любовь
Алёна, очень рада за вас с малышом!
17.04.2024
Ответить
Ольга
Махонький пока еще человечек😍, терпение, Алён, насмотришься еще на кокушки. Как в анекдоте, когда после дочек долгожданный сын родился: "Поздравляем! А на кого похож?". "Не знаю, на лицо еще не смотрели". 🤗😄
12.04.2024
Ответить
ta987nya
Кокошки кокошками, что на них смотреть🤣. А я вот на первом фото мозг вижу💪💪💪!
13.04.2024
Ответить
Алёна
ta987nya, вам значит не понять, у вас же разнополые дети и есть два сына, а мне в новинку.
13.04.2024
Ответить
ta987nya
Алёна, да нет, я вас понимаю. Для вас открывается новая сторона мира. Я примерно так себя чувствовала, когда родила первого сына. Вдруг выяснилось, что есть огромное количество одежды, игрушек, занятий и увлечений для мальчиков. Я и мужа своего стала лучше понимать, когда сын родился. Пока сама мужчину не выносишь, не родишь, на руках не вынянчишь, так в мужской мир не заглянешь. У меня старший сынок растет, взрослеет, уже отдаленно проглядывают мужские очертания и в фигуре и в лице. Смотрю на эти плечи косая сажень и крышу сносит, что это я Я выносила и родила такую мужскую красоту ❤.
Так что я очень рада за вас, у вас материнство с новой, волшебной стороны открывается.
13.04.2024
Ответить
Алёна
ta987nya, спасибо🙏💕 чувствую, что много интересного меня ожидает впереди 🥰
13.04.2024
Ответить