Второй скрининг, шейная складка

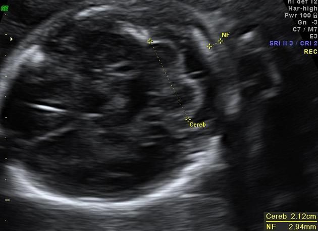
По мозгу вот что измеряют. Но , если вам сказали, что всё нормально, то не надо до каждой цифры докапываться)) выдохните и расслабьтесь) Изображение
19.09.2024
Мне кажется это отдел мозга какой-то измеряли. В этом срезе по идее шеи не видно. Я не спец, конечно
19.09.2024
Толщина рубца Анализ хгч с девочкой и сейчас