Всегда хотела сына...
УЗИ, КТГ, доплер
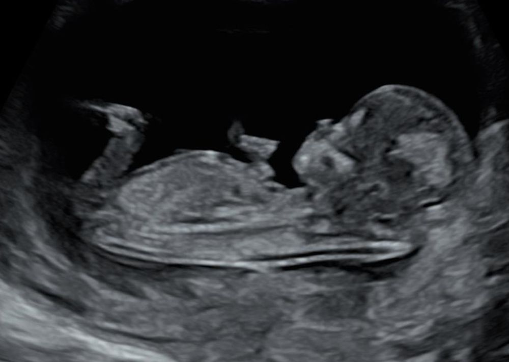
А по УЗИ сказали, что скорей всего девочка. Срок был на УЗИ 12 недель и 4 дня. Я рассмотрела снимки УЗИ и, мне кажется, это девочка 100%. А вам как кажется? Первый снимок чуть жутковатый, добавила второй просто так, красивый профиль)
Была у кого-нибудь подобная ситуация и как смирились с полом ребенка? У меня по материнской линии у всех рождаются исключительно девочки, видимо, поэтому и у меня...
Лучший ответ
Алена
На первом фото малыш сосет пальчик вроде)) Мне тоже похоже на девочку. У меня тоже такая полосочка на фото в 12 недель в дневнике))
Дайте себе время привыкнуть. Когда родится, вы не сможете представить себя мамой другого ребенка 😃
13.12.2024
Ответить
Мышка
Алена, на первом фото он не сосет пальчик, т.к. лицо повернуто к нам. У вас точно девочка, несколько фото и горизонтальный бугорок. У меня только одно фото в таком ракурсе, где там что-то видно, узистка с большим опытом, не сказала однозначно, поэтому есть микронадежда на мальчика. Это моя первая беременность, поздняя, еще поэтому так тревожно.
13.12.2024
Ответить
Алена
Мышь, за пол точно не тревожьтесь!! Даже если вы всегда представляли себе мальчика, а будет девочка, поверьте, после рождения ребенка вы будете сами себе удивляться, как можно было хотеть какого-то мальчика, когда у вас самая лучшая в мире девочка 😃
Но вообще да, срок такой, что надежда на мальчика еще есть))
13.12.2024
Ответить
Анютка
То же очень хотела мальчика первого) но подсознательно понимала - наверное девочка. И даже троху расстроилась когда узнала (во дура то, потом же рада все равно была). Но главное же, что б дитя здоровое.
13.12.2024
Ответить
Alena
Как же я вас понимаю…тоже одни девочки в роду и я надеялась, что в этот раз мне повезет. Видимо нет. Я не хочу доверять узи 16 недель,, мозг отказывается верить. Как у вас дела? Девочка у вас или все-таки мальчик? Удалось смириться?
29.05.2025
Ответить
Мышка
Alena, спасибо за понимание. последующие УЗИ подтвердили пол. чуть смирилась, но до полного принятия далеко. На 3д УЗИ кстати личико очень симпатичное и в животе ведёт себя деликатно, не пинается больно. В общем мне нравится этот ребенок, но лучше б он был мальчиком. И женское имя никак не могу выбрать.
29.05.2025
Ответить
Alena
Мышка, 😓вы не одна в этом . У нас в роду тоже одни девочки, отношения в моей семье токсичные, так хотелось совсем другого , нового для себя, сына, похожего на мужа , с чистого листа без болезненных ассоциаций …нет. Жду результат крови, должен придти со дня на день, но больше для того, чтобы не надеяться на чудо на последующих узи. Обидно даже не столько для себя, сколько за мужа-настоящий мужчина, столько умеет делать, так ему пошел бы сынишка. Очень досадно.
29.05.2025
Ответить
Alena
Мышка, имя я предложила выбрать свекрови и тестю. Те с радостью , и как ни странно, придумали отличное имя. Мне в целом даже теперь не хочется второго ребенка , потому что знаю, что наверняка будет еще одна девочка 🫠
29.05.2025
Ответить
Мышка
Alena, а какое придумали имя, если не секрет? у меня, возможно, Элеонора, но ещё думаю. Тоже кажется, что и второй ребенок был бы девочкой, раз уж яйцеклетки у нас в роду выбирают женские сперматозоиды
29.05.2025
Ответить
Alena
Мышка, многие говорят, что пол ребенка зависит от сперматозоида , да, это так биологически. Но я не верю в случайности. Восприняла это как свою карму (зачем оно мне?). Иногда даже приходит мысль, что лучше бы совсем без детей была. Девочку назовем Дианой, нам под фамилию отлично подойдет
29.05.2025
Ответить
Анастасия
Я первого мальчика хотела. Чтобы был у дочки старший брат.
А теперь рада. Старшая - моя главная помощница, а старший брат есть у двух младших дочек.
ПС. У всех двоюродных братьев и сестер только мальчики, у родного брата детей пока нет.
13.12.2024
Ответить
Фредерика
Я изначально хотела мальчика, пол смогли увидеть только в 26 недель. Муж хотел дочь, поэтому я не сильно расстроилась. Хотя вообще не представляла, что с девочками делать. Но ничего, отличные девчонки) после их рождения даже не представляла, что могло быть как-то иначе.
К слову, у меня в семье в трёх поколениях только девочки, а у мужа трое братьев и больше мальчиков.
13.12.2024
Ответить
Мама девочки
Не хочу показаться душной, но главное, что бы ребенок родился здоровым. А там как встретитесь так и случится любовь. Ну если не случится из за того, что ребенок не того пола, тут уже конечно большой вопрос к вам… как к человеку в целом. Но если все же у вас дочь, желаю ей, что бы Вы были заботливой и любящей мамой)
13.12.2024
Ответить
Мышка
Марина , у мужчины нет сестер, но есть брат. Да и кто отвечает, разные мнения, уже столько всего перечитала, может, это яйцеклетка выбирает X, а не Y
13.12.2024
Ответить
Марина
Мышь, Y живут меньше X просто, если в овуляцию не попали, то уже шанс на Y минимальный:) почитайте об этом)
13.12.2024
Ответить
Tatiana
Мышь, у меня по материнской линии одни девочки в роду, ни одного мальчика нет. А нам мальчика предположили. Не работает это так. Вероятность всегда 50 на 50, если у мужчины нет каких-либо проблем.
13.12.2024
Ответить
Оставшиеся комментарии доступны после регистрации
Зарегистрируйтесь и получите полный доступ ко всем функциям сайта.