Пол малыша

Лучший ответ

Мы в этот раз решили не узнавать) покупаем все нейтральное. И по пару комплектов) чтобы хватило на первое время) а там можно, как родится, все закупить)
10.01.2025
Бежевое, белое, оливковое подойдет любому ребенку)
10.01.2025
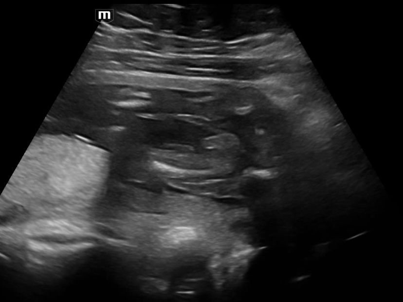
Так мальчик же тут ☺️ вы уже знаете пол?
27.05.2025
Когда я здесь спрашивала на кого похож мой малыш на фотке со скрининга, все мне написали сдать кровь и узнать😆где я живу, этот анализ стоит в 3 раза больше чем узи, но в вашей ситуации я бы сдала)))
10.01.2025
alisa alisa, боюсь, что у нас может быть не совсем информативен результат анализа, так как перед этой беременностью был выкидыш, а там, скорее всего, был мальчик
10.01.2025
Анастасия , там от той беременности мальчиком ничего не осталось...
10.01.2025
Купите унисекс. Думаю мальчик
10.01.2025
Сдайте кровь, на определение пола ребенка . Цена в среднем 6тыс. Я в 10 недель уже узнала пол ребенка.
10.01.2025
Элеонора, или даже в 8 недель я сдавала.. да точно до 10 недель
10.01.2025
Элеонора, боюсь, что у нас может быть не совсем информативен результат анализа, так как перед этой беременностью был выкидыш, а там, скорее всего, был мальчик
10.01.2025
Анастасия , у вас уже большой срок и хорошая фетальная фракция ДНК в крови, на таком сроке не может быть ошибки.
10.01.2025
Элеонора, ну либо покупать все нейтральное, у меня муж покупал все зеленое, меня тянуло на голубое🤣Хотя знали что девочка, но нашей голубоглазой девочке очень идет голубой))
10.01.2025
Купите белое и не мучайтесь 😄
10.01.2025
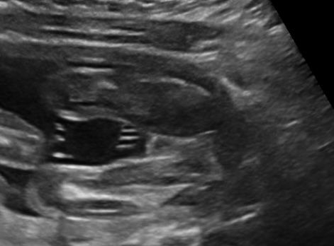
пол ребенка Кто понимает в узи, не терпится узнать кто у нас