Маленькое дополнение ко вчерашнему посту
Анализы, скрининги
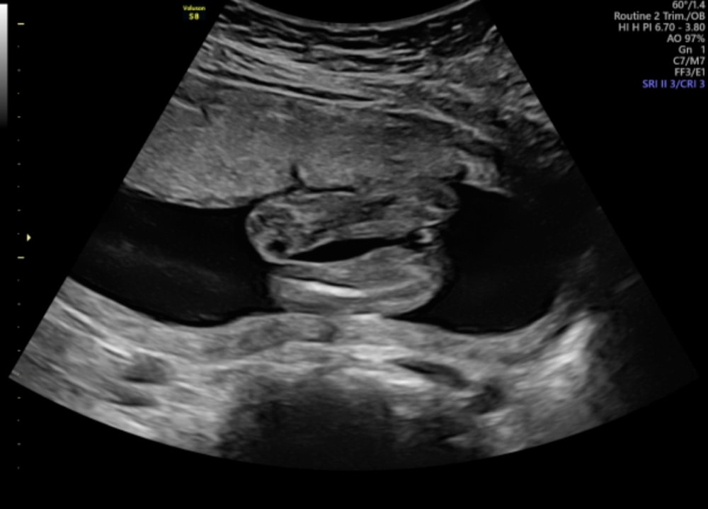
Вчера писала пост про то, что меня уверяли на УЗИ, что это мальчик, нашла ещё вот этот снимок с того же УЗИ, я конечно сдам кровь на определение пола, но вопрос всё тот же, где тут можно увидеть яички 😀😀 По-моему девочка-девочка прям
Лучший ответ
Ирина Лапина
Автор, у Вас прям как у меня. Мне в 13,19, 21, неделю говорили 100% девочка. Пол не показывали, так как был гендер пати. А в 37 недель врач по узи говорит больше похоже на мальчика, машонка и пиптик вверх торчит. Нам уже всё равно какой пол, только я фанатею от розового🤗, много вещей в этих цветах. Ждём сюрприза при рождении😊. Вот такая у нас картина с полом в 37 недель.
08.09.2025
Ответить
Анастасия
Ирина Лапина, а мне кажется, что девочка у вас. Если и в 19, и в 21 неделю так увидели)
08.09.2025
Ответить
Ирина Лапина
Анастасия, я по узи не вижу девчачье, там выражено видно машонка и писюн вверх торчит. Пирожка и близко нет, по крайне мере у моих девочек такого не было, там явный был пирожок и писюн не торчал. Я больше поверю узи на поздних сроках чем на не больших.
08.09.2025
Ответить
Анастасия
Ирина Лапина, я, честно говоря, вообще плохо понимаю, что на снимке. Вот этот предполагаем пенис вполне может быть пуповиной.
Но, я как раз таки верю в узи на сроке 20 недель. Но не лдному. Если на 2х сказали, то более вероятно.
Потому что на больших сроках уже малыш большой, могут быть нанесения срезов на узи.
Ну, я так понимаю, что через пару недель станет известно)
08.09.2025
Ответить
Ирина Лапина
Анастасия, сразу обрезанная с двух сторон пуповина? Сама врач сказала на узи что на писюн похоже, девочка маловероятно, но не исключает, пуповина толще на таких сроках. Я ещё раз пишу что доверяю узи на поздних сроках, когда яйца опускаются в мошонку и видно что пацан, на 20 неделях яйца в машонку ещё не опускаются и легко принять пустую машонку за половые губы, ещё когда писюнчик вверх смотрит, и могут его не заметить. Поэтому заказала немного мальчуковых вещей, чтоб розовыми не позорится на случай сюрприза. Девочке синий цвет подайдёт, а мальчику розовое это пипец будет, избавьте меня от этого. Нейтральные оттенки есть, но мне нравятся синие и розовое на детка новорождённых.
08.09.2025
Ответить
Анастасия
Ирина Лапина, почему обрезанная? Просто на узи такой срез виден)
Это ведь не 3Д)
Я и не спорю с вами. Но уверенным быть нельзя ни в одном варианте, в вашей ситуации, как я понимаю.
Потому, узнать точно можно будет только после родов)
08.09.2025
Ответить
Юлия
Ирина Лапина, здравствуйте) А у меня похожая ситуация, на скринингах ребёнок вообще не показывался, пошла в 27 недель узнать платно, как раз гостили у родственников, чтобы гендер-пати провести со всеми, там узистка долго смотрела, двумя датчиками, говорит, что ребёнок на попе сидит и пуповина между ног, но вроде рассмотрела, написала на бумажке и конверт заклеила. Провели гендер-пати, оказалась девочка, очень обрадовались. Потом в 30 недель пошла на скрининг, там ребёнок уже перевернулся головкой вниз, я спросила про пол, не говоря, что уже знаю, она сказала, что ребёнок лежит боком, мол не удобно, но скорее девочка, ну я окей, не могли же 2 разных врача не правильно увидеть 🫣 Потом в 36 недель опять УЗИ и я снова решила спросить, чтобы уж наверняка. А она мне и говорит: ну я же мальчика предполагала? Мой шок был в шоке, показала мошонку с яичками, правда там больше ничего не видно, ни писюн, ни ножек, просто кружочки на весь экран… вот и верь после этого врачам)
08.09.2025
Ответить
Ирина Лапина
Юлия , далеко не нужно ходить. Девушка писала что тоже делала узи и скрининг в середине беременности, говорили девочка. В 34 недели пошли на узи чтоб посмотреть на доченьку, а им говорят, какая это девочка это мальчик, они были в шоке, им на экране показали мужские причиндалы. Она родила в июле, но не отписалась кто же у неё всё таки родился.
08.09.2025
Ответить
Юлия
Ирина Лапина, мне казалось, что сейчас такое просто невозможно 😁 такое оборудование, врачи тоже достаточно высокой квалификации, а ошибки всё равно случаются, ещё и на таких поздних сроках. Мне рожать не сегодня, так завтра, до сих пор не верится, что будет мальчик, может потому, что первый мальчик у меня и уж очень долго жили с мыслью, что ждём девочку. Но, конечно, после того, что было видно на узи, сомнений не должно было остаться 🫣
08.09.2025
Ответить
Анастасия
Ну, так, конечно, больше на девочку похоже)
Но, если врач прям так уверен - то сложно быть уверенной в обратном)
У меня вот на узи тоже прям явно девочка, но было 15 недель. Врач дал на девочку 80%, но я пока всё равно не уверена. Мало ли)
Послезавтра еду на узи. Посмотрим)
08.09.2025
Ответить
Яна
Анастасия, ну у вас и срок поменьше) я не знаю просто как тут можно увидеть не девочку 😀
08.09.2025
Ответить