Лучший ответ
Юлия
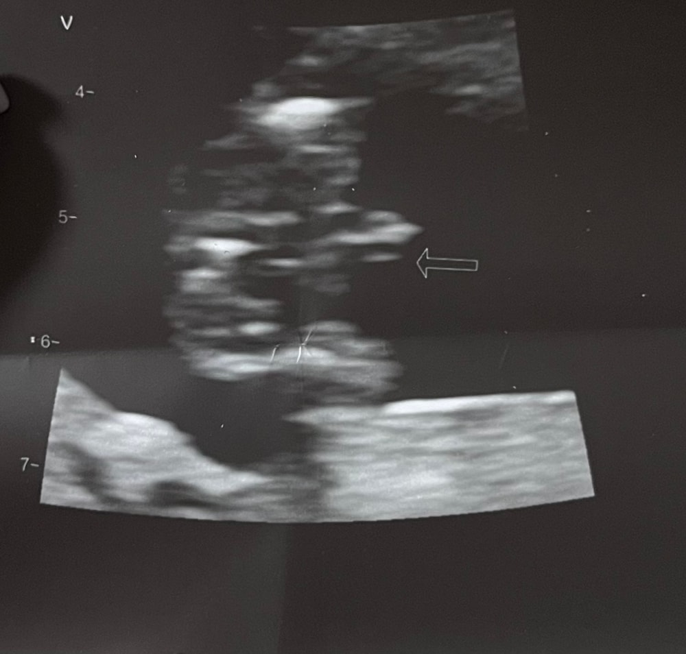
Я вижу смазанное лицо которое смотрит влево , вот такое вырожение 😑 развидеть это не могу 😅
08.09.2025
Ответить
Анастасия
Честно говоря, я тут вообще ничего не понимаю. Это скрин с видео? Или врач вам вывел это "что-то" на экран для снимка?
В теории, если это срез внизу, тогда можно предположить, что это мальчик. Но я не понимаю, на самом деле, что это.
08.09.2025
Ответить
Дарина Савенкова
Анастасия, это он сам вывел на на монитор и сам распечатал,из за чего так плохо получилось до сих пор не знаю
09.09.2025
Ответить
Дарина Савенкова
Елена, очень интересно где что,сможете на словах объяснить,а то развидеть не могу🫣
08.09.2025
Ответить
Елена
Дарина Савенкова, обвела красным. сверху, снизу ножки, посередине писюнчик. вид снизу со стороны попы, на мальчика больше похоже
09.09.2025
Ответить
Дарина Савенкова
Ольг Б, в первую беременность ходили к этому же врачу и на этот же аппарат,но в этот раз прям расстроилась,хотя даже срок больше чем в первую б ходили и все без ошибочно сказал кто
08.09.2025
Ответить
Little Koldynia
Дарина Савенкова, если сейчас не сказал кто зная что у вас уже есть мальчик. Значит и сейчас мальчик. Просто не стал говорить думаю
08.09.2025
Ответить
Дарина Савенкова
Little Koldynia, сказал что видит одно а потом сказал что другое,поэтому не стал говорить
08.09.2025
Ответить
Little Koldynia
Little Koldynia, юлит вообщем. Опытный узист и в 11 недель видит и говорит
08.09.2025
Ответить
Дарина Савенкова
Little Koldynia, ну вот думаем себя не пытать сходить в другую клинику и переделать
08.09.2025
Ответить
