Желточный мешочек
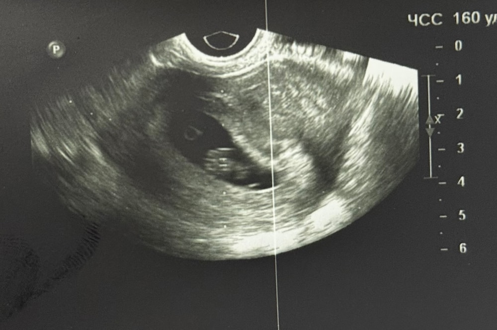
УЗИ, КТГ, доплерДевочки, может кто сталкивался. Сходила на узи. Срок 7,5нед. КТР 14, СБ 160. Узист ничего плохого не сказала, кроме тонуса. Еду домой, читаю заключение. Желточный мешочек 6,7 мм. Естественно в интернете ничего хорошего это не значит. Написала доктору. Она сказала главное сб есть и ктр растет. На душе все равно тяжко. Но логически, это значит жм почти половина эмбриона. А на узи жм не большой😭
Лучший ответ
Екатерина
Если есть эмбрион и чсс норма, смотрят только на них . Ориентир теперь только малыш.
27.10.2025
Ответить
Алиса
Екатерина , но все же, вот по узи жм не кажется же таким большим?.. ужасно переживаю. 3 года не получалось
27.10.2025
Ответить
Екатерина
Алиса , у меня жм был 1.2мм, потом 1.4мм я жутко переживала, на что врач сказала на него повлиять мы не можем плюс аппараты узи делают погрешности, ориентируемся и верим в своего малыша
27.10.2025
Ответить
Лёвушка
Мне мой врач до недель 11 наверное не указывал размер жм(просто писал визуализируется) и чсс количественно не указывала(просто чсс+). Специально, чтоб я себя не накручивала.
На моих узи жм выглядел чуть больше Вашего жм на узи😅
Если малышочек растет хорошо, то даже голову себе не забивайте🍀
27.10.2025
Ответить
Алиса
Лёвушка, спасибо 🙏 предыдущее узи было перед выпиской в пятницу. Сегодня побежала потому что начала просто паниковать из-за внезапного отсутствия тошноты. В пятницу жм 4, ктр 11
27.10.2025
Ответить