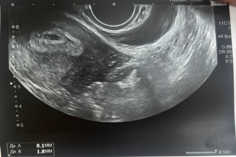
Узи в 5 недель 🖤
УЗИ, КТГ, доплерСходила сегодня на узи, так как пошла светло-бежевая мазня + исключить внематочную.

В итоге нашли плодное яйцо 8мм, желточный мешок 1,8мм 🥹 срок 5-5,5 недель
а по календарю 5н4д
желтое тело 19мм, малышарик прикрепился по передней стенке матки)
Теперь через полторы недельки на сердцебиение 💓
По выделениям светло-бежевым - сказали все окей, никаких гематом, ничего, это норма
Я в момент успокоилась, можно выдохнуть, ура!