На какую кисту похоже?
Гинекология (кроме тем беременности)
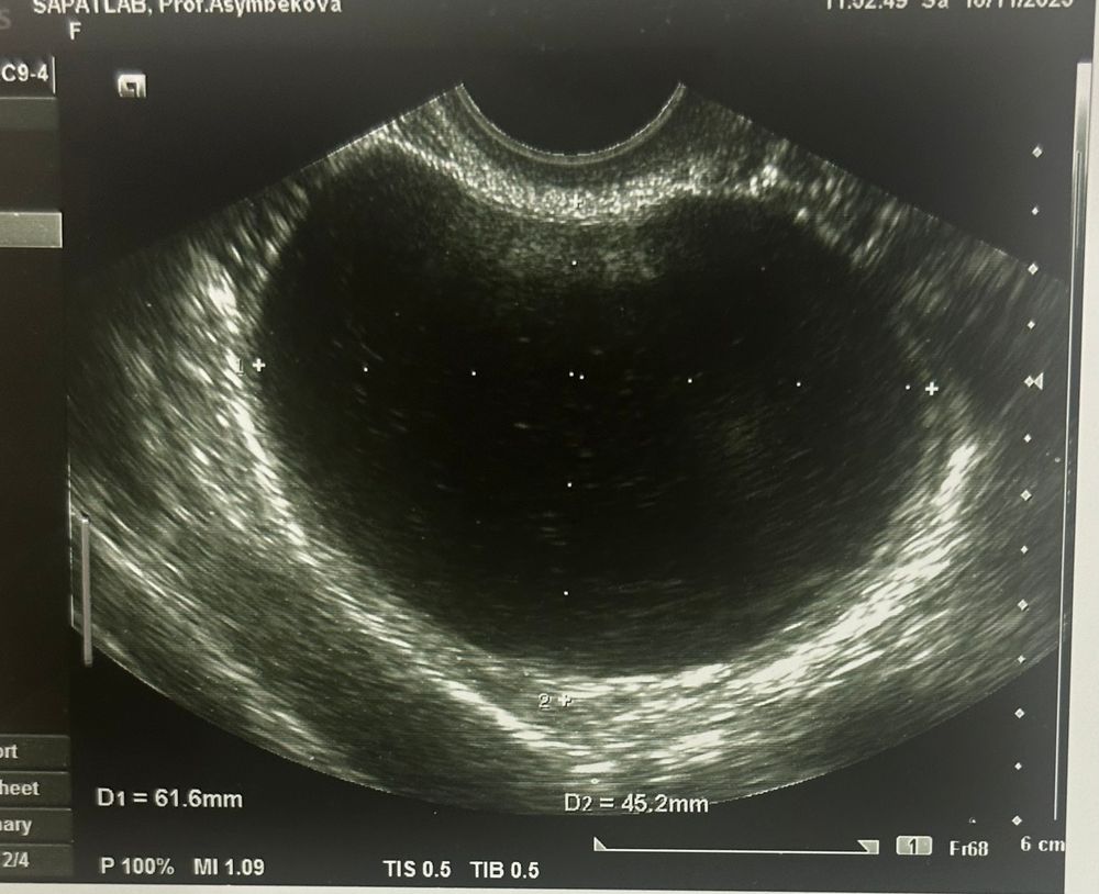
Всем привет. 4 месяца назад на узи обнаружили кисту размерами 6*5 см. Сказали что фолликулярная, назначили лечение. На следующий цикл киста совсем не изменилась, и по сей день она не уменьшилась ни на миллиметр. Что это может быть за киста? У кого было что-то подобное?
Планирую беременность, и не знаю что делать с этой кистой, АМГ и так низкий ( 1,9) после удаления кисты наверное вообще упадет
Анастасия
Если образование в яичнике не уходит в течение 3х циклов , то делаем мрт. Дифференциальная диагностика с серозной цистаденомой.
Разница на узи в толщине стенки. На обычном аппарате не углядеть. Можно экспертное узи сделать. Но золотой стандарт -мрт. Плюс, сдать на онкомаркеры (са125, he4)
В течение 3х месяцев уже должно было что-то произойти с кистой. Но большие фолликулярные кисты могут существовать до 6 месяцев . потом требуется оперативное лечение и гистологическое исследование .
25.12.2023
Ответить