Внчс

О, как раз с этим лежу в госпитале сейчас, отправили обследоваться. Тупая постоянная боль за ушами, вокруг ушей, на затылок отдает боль. Иногда хрустит челюсть. Замучилась
25.11.2025
Виктория, здравствуйте. Что вам сказали?
4 дня
Если есть боли, щелчки и прочие неприятные моменты, надо сделать МРТ суставов, это даст понятную картину, что у вас там + если у вас неправильный прикус, возможно у вас показания к ортогнатической операции. У меня похожий случай, я в процессе подготовки в ортогнатии, но вот забеременела, пока на стопе) хожу в брекетах. Одну операцию мне уже провели, вот готовлюсь к основной. У меня асимметрия ветвей челюсти, смещение подбородка, тенденция к медиальной окклюзии. Это долгий путь. Я лечусь уже около 3 лет.
25.11.2025
Полина, простите, а сколько вам лет? Вы начинали с ортодонта? У вас есть проблемы с суставом?
25.11.2025
Ой всё, мне 28 лет, начала это всё в 24-25 лет. У меня были щелчки, ощущение перетирания песка при пережевывании пищи, боль и ограничение раскрытия рта. Так же сжимала сильно челюсти непроизвольно. Ходила с капой ортодонтической (шиной) около 1,5 года, затем мне сделали операцию по расширению челюсти по небному шву(7 мм раздвинули) и потом надели брекеты, основная операция будет - ортогнатическая операция 2 челюстей и гениопластика.
25.11.2025
Полина, ну в Москве наверно проще. А кто вам назначал лечение, ортодонт или гематолог?
25.11.2025
Ой всё, гематолог - это специалист по крови. Вы наверное имели в виду гнатолога. У меня ортодонт, который специализируется на операционных пациентах, таких как я. Она мне назначала лечение. Разница конечно колоссальная до и после) Вообще к нам в МГМСУ едут со всей России оперироваться. Есть еще отличный челюстно лицевой хирург в Новосибирске (может поближе будет) Дудкин.
25.11.2025
Полина, это телефон исправил 😁да да, я про гнатолога А вы по квоте делали операцию первую? На сустав вам в клинике делали мрт?
25.11.2025
Ой всё, ее можно сделать по квоте, как и вторую. Я делала первую платно, вторую буду по квоте) мне что только не делали за эти годы)) у меня артроз 1-2 степени (1 степень у всех и не требует лечения), но у меня головка одного из суставов разрушена сильнее и приняла заднее положение, что доставляло дискомфорт и боль. Когда сделают операцию, поменяют положение челюстей, это поможет не прогрессировать дальше разрушению, скажем так. То есть как-то нарастить и вернуть назад - вряд ли) Есть пациенты, кому делают замену сустава, так же по омс, но там нужны серьезные показания. Сходите к грамотным ортодонтам (желательно к 2-3 специалистам), там посмотрите, что вам предложат.
25.11.2025
Полина, спасибо вам за ответ У нас есть в городе несколько ортодонтов, но всего один с большим стажем и она готовит людей к хирургическим операциям. То есть если помимо брейкет сестем нужны дополнительные вмешательства. Я была у нее до беременности, они сделали рентген, слепки зубов и фотографии. Сказала ей надо время на подумать, но больше я к ней не пошла, потому что забеременела. Я ей говорила про щелчки в суставе, она сказала что это не ко мне🙄 Я конечно хочу прийти к ней на консультацию еще раз, посмотреть что она предложит, но я боюсь сделать суставу хуже. Была еще у одного ортодонта в екб, он сказал что нужно расширение верхней челюсти, примерный план лечения объяснил, но более подробно не сразу, про щелчки сказал что они уйдут если нормализовать прикус (он у меня прямой, челюсть выдвинута вперед и нижние зубы не сильно перекрывают верхние, мб из-за узкой верхней челюсти так) По выходу с декрета планирую заняться своими зубами, но у меня нет четкого понимания к кому идти. Про гнатологов высказывания врачей какие-то противоречивые, типо молодое направление. Да и людей мало которые к ним обращались
26.11.2025
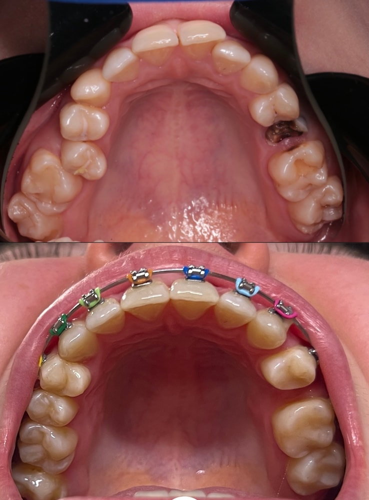
Ой всё, я тоже решила не ходить отдельно к гнатологу, неоднозначные какие-то отзывы в целом. Шина (сплинт) мне помогли расслабить гипертонус мышц, убрать напряжение с челюстей. А операция и постановка прикуса да, однозначно вам помогут и сделают лучше при операционном случае). По поводу расширения челюсти - для меня сама операция норм прошла, но раскрутки дистрактора потом - это очень неприятно. Хотя зависит от типа дистрактора. С ним нужно будет ходить около полугода. Но, повторюсь, результат шикарный, и эстетически, и по смыкания зубов. Вот фото до/после. Изображение
26.11.2025
Полина, да. Очень красиво. Вы ходили пол года прям с дыркой между Зубов? Чем-то камуфлировали ее? Я просто видела на фотках как это выглядит у девочек
26.11.2025
Ой всё, не пол года, зубы сходятся гораздо быстрее, около месяца ходила с дыркой и зубы сошлись практически. Меня не парило))
26.11.2025
Полина, кто раскручивал вам дистрактор? Меня парить будет потому что коллективчик на работе так себе, так и ищут друг в друге за что уколоть)
26.11.2025
Ой всё, хирург, я ездила каждый день в течение недели
26.11.2025
Полина, подскажите еще кто был у вас челюстно лицевой хирург и сколько стоило расширение челюсти
4 дня
Ой всё, 250тр, хирург Свиридов ЕГ. Цена на 2024 г. Куракина знаю, у него почерк специфичный, любит лица вытягивать, мне такое не нравится, хотя некоторым симпатизирует.
3 дня
Полина, спасибо. Если будут вопросы то можно вам писать?
3 дня
Ой всё, да, конечно, пишите в личные сообщения)
день
Полина, и читала про челюстно лицевого хирурга Куракина К А вы не у него аперировались
4 дня
Полина, подскажите, какую вы операцию перенесли?
25.11.2025
Найти толкового врача нереально. Денег на все эти процедуры нужны миллионы . Результат никто не гарантирует . Если готовы вперед. Вот самая толковая группа https://vk.com/ekaterina_shapovalova_vnchs
25.11.2025
Oksen, процедуры? То есть прикус исправить этого недостаточно?
25.11.2025
Ой всё, сначала найдите хорошего врача , сделайте много обследований , и уже он вам расскажет конкретно про ваш случай. Истории людей вы можете почитать в группе которую я скинула
25.11.2025
К какому врачу обратиться? Болят кости