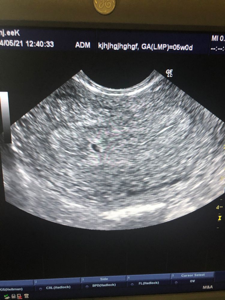
Анастасия в Копилка тестов // 5 лет Ну мы все))))🤰🏼Сегодня подтвердили маточную беременность и ПЯ 3,5 мм 🥰 У нас ПОЛУЧИЛОСЬ!!! (Финальный тест, пожелания) Посмотрите еще 20 записей на эту тему Отменить Ответить Kris Поздравляю 🙏 легкой беременности сердечко уже слышно ? 25.05.2021 Ответить Анастасия Kris, спасибо !!)) нет, сердечко ещё не слышно( 25.05.2021 Ответить Kati Супер! Поздравляю 🥳🥳🥳 24.05.2021 Ответить Евгения Шептунова Поздравляю 🎊лёгкой беременности 🎉 24.05.2021 Ответить Mouse Как здорово ! Поздравляем 🎊🍾 24.05.2021 Ответить Gerbera А сколько точно срок у Вас? 24.05.2021 Ответить Анастасия Gerbera , поставили 5 недель )) 24.05.2021 Ответить Gerbera 🙏🥳🥳🥳 24.05.2021 Ответить Динамика по Дпо Пост просто поделиться Чаты Беременных Выберите чат: Январята-2026 Февралята-2026 Мартята-2026 Апрелята-2026 Майчата-2026 Июнята-2026 Июлята-2026 Августята-2026