День Х или 1дз

Лучший ответ

Перестать пихать неэффективные фероны и станет всё хорошо:))) Вы и так делаете всё возможное) Если вирус, само скоро всё пройдёт:) Выздоравливайте.
29.12.2022
Жанна, спасибо) да знаю что не существует противовирусных, но врач уверял, есть исследования, где они показали эффективность. Раз по противопоказаниям не навредит- решила попробовать
29.12.2022
Васёна, да да, люди просто сами выздоравливали и всё:) вы же видите сами на себе, что не помогают) там только один вид интерферона, а какой вам нужен в данный момент никто не знает. И из-за такой непонятной прокачки велик риск схлопотать аутоиммунку(((( так что чай, мед, имбирь, компот и тд:) и всё будет хорошо:)
29.12.2022
За вами какой пост уже наблюдаю, по срокам совпадаем,тесты одинаковые и даже ХГЧ почти) Симптомы простуды те же 😂 Я ромашку пью и малиновое варенье ем
29.12.2022
Оксана , ухты)) у меня последние кд были 01.12, овуляция 14-15 декабря)) Сегодня сдала повторно хгч жду через пару часов. Вам помогает ромашка и малина? У меня насморк жуткий, кашель такой, что уже живот болит, чувствую горло до ушей дошло((
30.12.2022
Васёна, у меня тоже в этот день овуляция была) Да лечусь пока так, насморк только остался 🥲
30.12.2022
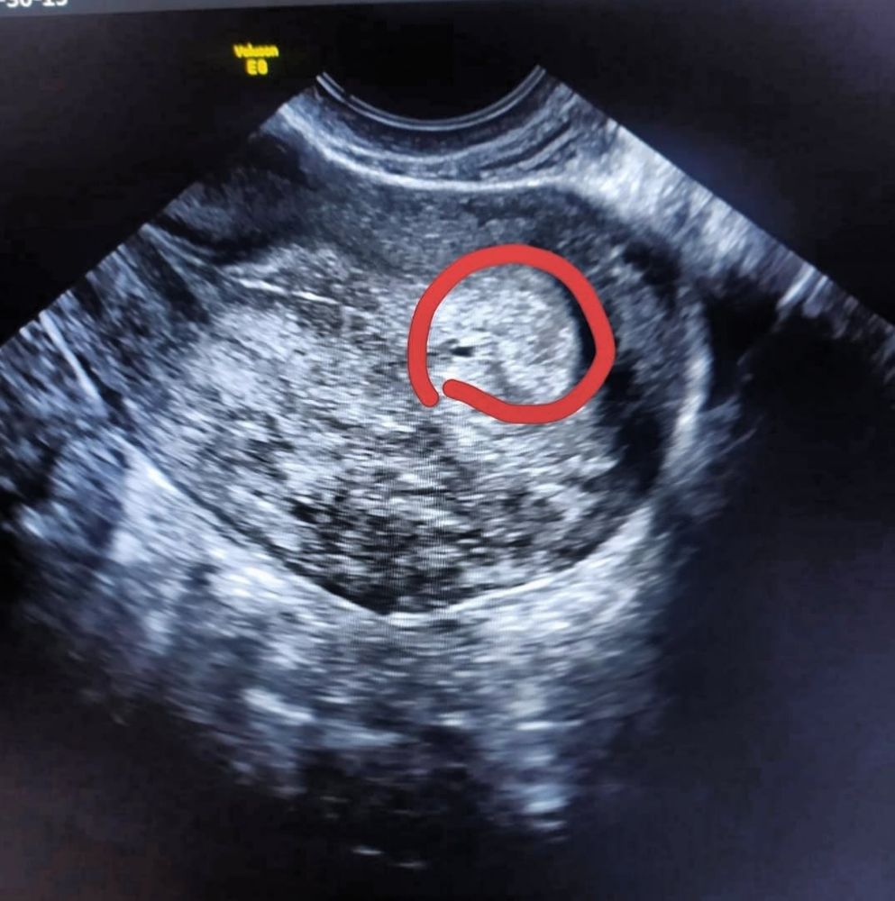
Оксана , повезло, а у меня еще кашель(( сдала хгч сегодня, 286🥰 вы сдавали? Как динамика?)
30.12.2022
Васёна, два дня назад был 117 сегодня пя 1.5мм нашли на УЗИ ☺️ Изображение
30.12.2022
Оксана , охты, я думала ПЯ видно от 1500хгч
30.12.2022
Васёна, мне тоже все это говорили ,это моя третья беременность и все три беременности видели пя до ХГЧ 1000))
30.12.2022
Оксана , у меня тоже 3я берем (2 зб было) и я как послушая ходила после хгч 3000🤣
30.12.2022
Васёна, у меня тоже две зб... Как мы с вами синхронно идём 🤔 Давайте в этот раз у нас все будет гладко!! С наступающим!!
30.12.2022
Оксана , третий раз точно будет счастливым🥰 спасибо, взаимно🤗
30.12.2022
Мой самый последний и контрольный тест Уже сегодня утром