?
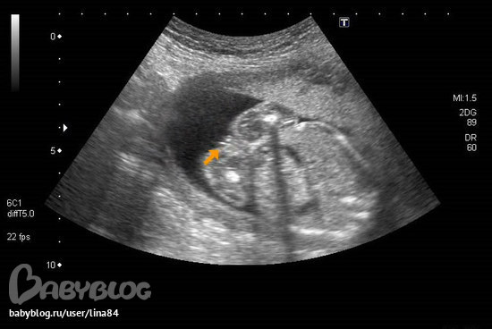
Вопросы про УЗИ, обследования и анализы: что, где, как, когда?Яне могу успокоится,начиталась про ошибки узистов в определении пола. Вот снимок нашей 100%доченьки,как узистка сказала. Девочки,это точно пирожок?....

Прекрасная чертовка
у девочек половые губы большие на узи с яичками легко перепутать можно...
23.11.2011
Ответить
Оля
Однозначно девочка. Если бы мальчик там бы еще по серединке торчало бы чего-нибудь. Я то уж знаю.
23.11.2011
Ответить
Спс)))))