Доченька или сынок?
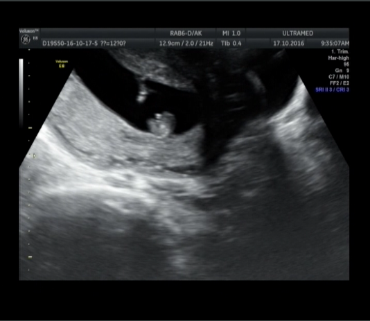
Вопросы про УЗИ, обследования и анализы: что, где, как, когда?А кто у нас? Узи 12 недель ровно. Я пока не понимаю. Тут ножки раздвинуты, посередине видно "колбаску".

А это вид снизу: попка и ножки, а самое светлое пятно - наши органы.

Lina
Колбаски еще нет на этом сроке, поэтому определяют по углу полового бугорка, а для этого нужен особый ракурс - ваши снимки не подходят...
31.10.2016
Ответить
Юлия
Не факт что это " колбаска " часто это бывает и пуповина как мне обьясняли.
31.10.2016
Ответить
Оксана
Мне, честно говоря, все равно, кто там. Но у нас в семье 2 ребенка одного пола и знакомые, родственники, друзья уже просто заколупали: вам НУЖНО только вот так. Хочется уже поскорее расставить все точки и закрыть эту тему. Такое чувство. что больше поговорить не о чем: интересует окружающих только пол, а не состояние мое и ребенка.
01.11.2016
Ответить
Оксана
Врач-узист (самый опытный в городе) не взялся определить пол. Так уже хочется определенности.
31.10.2016
Ответить
Оставшиеся комментарии доступны после регистрации
Зарегистрируйтесь и получите полный доступ ко всем функциям сайта.