мальчик или девочка???
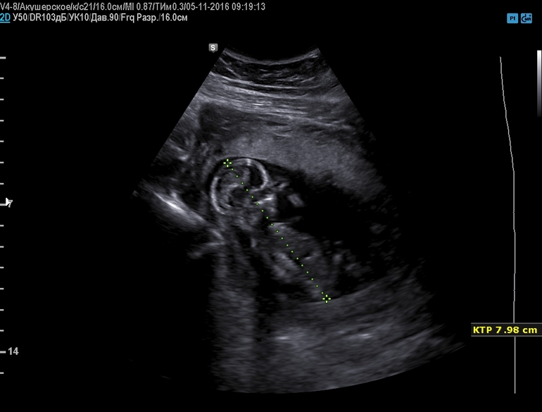
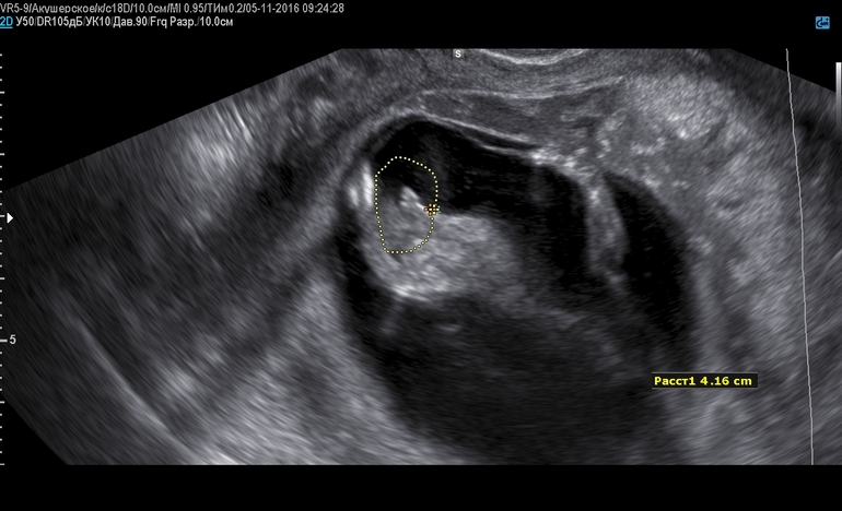
Вопросы про УЗИ, обследования и анализы: что, где, как, когда?срок 13 недель и 6 дней на узи сказали 80% что это мальчик.А вы что думаете?

Валерия
На таком сроке пол еще не виден) В очень редких случаях можно что-то предположить по половом бугорку, вернее его форме, но это все равно "вилами по воде" и то, что обведено на фото - совсем не половой бугорок ;) Не торопите события)
06.11.2016
Ответить
Евгения
да вот я тоже думаю что рано еще, а врач узи говорит что 80% что это мальчик и вот как раз этот бугорок мне и обвила в доказательство)))
07.11.2016
Ответить
Надежда (на большую семью)
Где то встречала, что если бугорок стоячий, то мальчик, а если лежачий, то девочка
07.11.2016
Ответить