Бакпосев
Анализы, инфекцииСдавала бакпосев мочи в гемотесте. Заплатила 900 р, в итоге дали один листик, что роста патогенной флоры не обнаружено. Анализ называется посев мочи с антибиотико- и фаго- чувствительностью, где остальная часть анализа я не поняла. Прочитала на сайте гемотеста, что если флора в норме, то исследование антибиотико- и фаго- чувствительности не проводится. Девочки,кто делал такой анализ в других лабораториях, там тоже такая политика ?
Юлия
Я делала бесплатно в жк, нашли какую то бактерию и ниже были расписаны антибиотики. Пересдала в инвитро, тоже самое как у вас ничего не нашли и соответственно чувствительность к аб не определяли. Стоимость анализа поимерно как у вас.
08.03.2017
Ответить
Алина
у нас бесплатно в поликлинике посылают делать. Ответ получила слово в слово как у вас.
08.03.2017
Ответить
Нина
У меня тоже написана одна фраза-посев роста не дал. Значит все хорошо)) и у вас так же)
08.03.2017
Ответить
G_V
Да, вторую часть анализа проводят , если что то высеили. Вот тут только не совсем честно выходит. У нас в городе только одна лаборатория возвращает часть денег.
08.03.2017
Ответить
Катерина
так это чувствительность бактерий, в случае если они обнаружены, а у вас ничего не обнаружилось, ну и радуйтесь) На чувствительность к АБ проверять нечего) Это не политика, это логика))
08.03.2017
Ответить
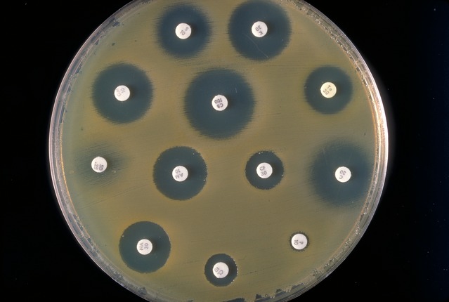
Совунья
А как вам сделают чувствительность к аб, если ничего не выросло???? Мочу сеят на питательные среды, на них начинают расти бактерии, дальше разные колонии бактерий сеят в разные чашки и туда кладутся аб и
08.03.2017
Ответить
Совунья
Фаги и смотрят как бактерии на них реагируют... вот и получается чувствительность... тогда вам пишут - высеялась такая бактерия с такой чувствительностью
08.03.2017
Ответить
Ксения
Спасибо))видела этот анализ у другого человека, там три распечатано, вот и удивилась.
08.03.2017
Ответить
_selina_
Соседка сдавала в 21 веке. Такая же формулировка пришла мне на почту. Я еще удивилась, что это за анализ такой....
08.03.2017
Ответить
Вот так выглядет посев, рыжеватая плёнка- колония бактерий, белые кружочки чем то пропитаны... вот колония по разному на них реагирует, а у вас через 10 дней чистая чашка ... бактерий нет :)