Сходила на узи, вместо спокойствия - еще больше вопросов(((
Вопросы про УЗИ, обследования и анализы: что, где, как, когда?Девочки, в общем сходила на узи. Беременность под вопросом.
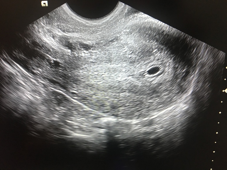
Вообще узи без консультации было, поэтому и остаётся только читать да вглядываться. Меня смущает,что я вижу две чёткие точки...может ли это говорить о двойне?

Повторное УЗИ думаю лучше даже через пару недель?
Кэтрин Шубкина
раньше 7 недель смысла не вижу идти.
Сделали тест и ждите.
И следите за выделениями.
Прозрачные или желтые - все хорошо, растем)
А на 7 неделе уже сердечко слушаем)
Как у вас дела?
17.10.2019
Ответить
Екатерина
Спасибо) правда уже записалась не понедельник. Вот не знаю отменять или нет.
Дела нормально) токсикоз во всю о себе даёт знать
18.10.2019
Ответить
Svetlana Pancescu
Узи нельзя интерпретировать самостоятельно, все что мы там видим может оказаться чем угодно. Я вижу "точки" по всему фото, например. Но это ничего не значит. Написали одно включение, значит, наверное, одно. Жёлтое тело в одном яичнике. Значит возможны только близнецы. Очень редко когда два фолликула выходят из одного яичника.
14.10.2019
Ответить
Маша
Посмотрела в вашем профиле посты, у вас же тесты только недавно начали полосатится, рановато вы на узи пошли
Но две точки видно чётко😅😅😅
14.10.2019
Ответить
Дарья
Я первый раз пошла у меня было почти не заметное плодное яйцо около 2 мм. Доктор сказала прийти через 3 дня, плодное яйцо было уже 6. Так пару недель я бы точно не выдержала.
14.10.2019
Ответить
Дарья
Вы овуляции не отслеживали ?
У меня просто есть узи «моего ребёнка» когда он ещё фолликулом 12 мм был 😂
Вот такие мы были в 4.3 Эмбриональные недели. А первое фото 3.1 так что все очень быстро растёт и думаю через недельку все точно будет видео и понятно! Растите 🙏🏽🙏🏽
А как хгч в динамике ?
14.10.2019
Ответить
Айгуль **Я Мама 2017**
А у меня в 4 недели вообще ничего не увидели, я хгч сдавала в динамике для спокойствия)) потом уже на первом скрининге увиделись с малышом)
14.10.2019
Ответить
Екатерина
Спасибо! Успокоили)) подожду неделю. Все равно кроме токсикоза ничего не беспокоит.ттт
14.10.2019
Ответить
Айгуль **Я Мама 2017**
У меня, кстати, и не совпал срок по М с реальным сроком, овуляция была поздней, почти на 2 недели.
14.10.2019
Ответить
Екатерина
Вот скорее всего и в моем случае аналогично. Прям легче стало, спасибо вам!
14.10.2019
Ответить
Айгуль **Я Мама 2017**
Я вас понимаю, первую Б так долго ждала, когда Узист сказал что ничего не видит, я прям там на кушетке разревелась, потом ещё часа 2 не могла успокоиться(((
15.10.2019
Ответить
JuliaTS
Может быть правда совсем поздняя овуляция?
У меня овуляция всегда на 16-17 день цикла
Вот мое узи ровно в 6 недель
14.10.2019
Ответить
Vvv
У меня маленькое плодовое яйцо было тоже на вашем сроке , менее 6 мм.. Сейчас на 7 неделе наконец -то появился мелкий. Поздняя овуляция )
14.10.2019
Ответить
Ольчик
в 5.6 нед считая от 1 дня месячных нашли четко все. делала в Жк нашей , все показали на мониторе
вот 5.6 нед
вот 5.6 нед
14.10.2019
Ответить
Кристина
У вас стоит 6 неделя, Но там четко видно должно быть. Может неправильно посчитали вы или поздняя овуляция была? У меня на 4-ой акуш.неделе было ПЯ хорошо видно, но это уже эмбриональных 2 с лишним было. Единственное, что могу посоветовать - сдать хгч в динамике
14.10.2019
Ответить
Екатерина
Ну вот последние месячные были 9 сентября, срок получается 5 недель, 6 только начинается. Не знаю, нормально ли это
14.10.2019
Ответить
Кристина
Для такого срока нормально. У меня последние м были 30 августа и я только в четверг пойду на УЗИ.
14.10.2019
Ответить
Айза
http://ovulyaciyatut.ru/rasschitat/rasschitat-datu-rodov.html вот сюда зайдите посчитайте, я сколько приложений перепробывала он точно показывает мне срок и по узи сходиться....
14.10.2019
Ответить
Айза
у меня тоже где то 4-5 недель ПЯ было видно, только эмбрион не вуализировался....
14.10.2019
Ответить
Оставшиеся комментарии доступны после регистрации
Зарегистрируйтесь и получите полный доступ ко всем функциям сайта.