babyblog Поиск
Войти
Войти
Зарегистрироваться
Сообщества Зачатие Беременность Всё о детях Не только мама Полезные статьи
Техническая поддержка Реклама на сайте
  • Сообщества
  • Зачатие
  • Беременность
  • Всё о детях
  • Не только мама
  • Полезные статьи
Техническая поддержка Реклама на сайте
Софи в Здоровье будущей мамы 3 года

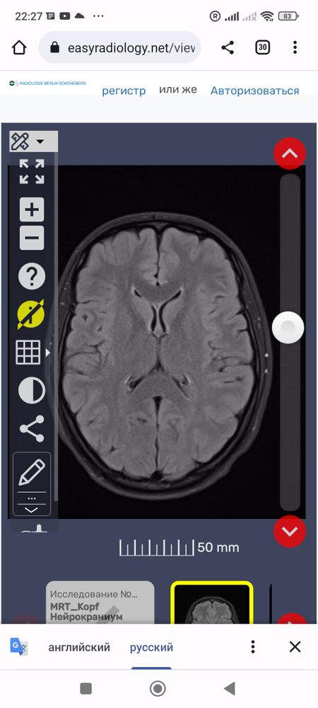
Есть знатоки по МРТ ?

Другое
Изображение

Изображение

Изображение

Изображение

Изображение

Что это за белые точки вокруг мозга? И все ли впорядке

Посмотрите еще 20 записей на эту тему
Годовалый ребёнок не спит без качания Хгч. Боюсь повтора внематочной😞
Чаты Беременных
Выберите чат:
Январята-2026 Февралята-2026 Мартята-2026 Апрелята-2026 Майчата-2026 Июнята-2026 Июлята-2026 Августята-2026
О проекте Реклама на сайте Соглашение с пользователями Правообладателям Помощь Техническая поддержка
Отзывы о роддомах Графики базальной температуры Врачи Календарь беременности Темы

Бэбиблог — сайт о беременности и материнстве. Дневники беременности и развития детей, календарь беременности, отзывы о товарах, роддома, а также множество других полезных разделов и сервисов. © 2005 — 2025

16+

innovation skolkovo