Подозрение на замершую
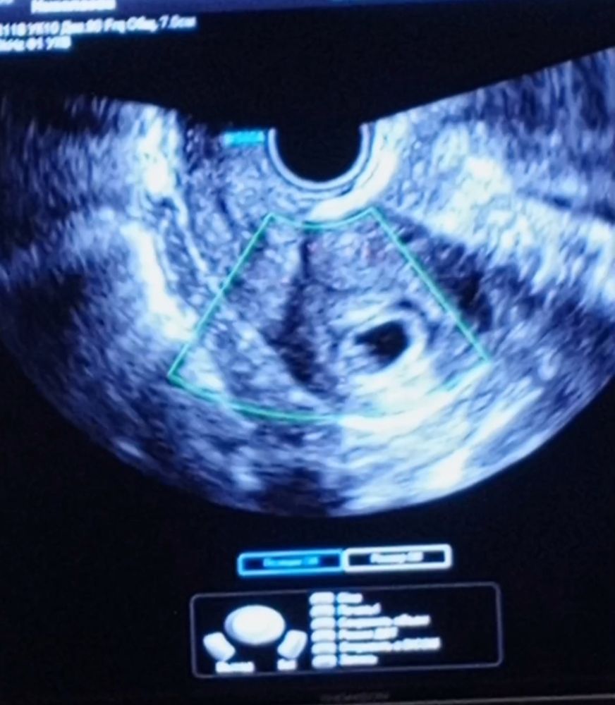
Результаты: УЗИ, КТГ, доплера, скринингаДевочки вообщем привет , про эту беременность я не писала здесь , но уже нет сил. В 5 недель и 1 день я попала с кровотечением в больницу , но ни отслоек ни гематом. Выписали всё ок. 24 мая было 6 недель и 5 дней. Съездила в роддом где отец мужа работает на узи сердцебиение послушать все супер. Прилагаю фото (синее сделано 24 мая, эмбрион 8.3)
И чёрное белое узи это сегодня (эмбрион 5.3) что соответствует сроку 6.1 что-то такое.....

Но врач сказала что если замирает , то не уменьшается.по сердцебиению у них сомнения , не моё ли это, Господи жутко устала.....
Вообщем ничего не понимаю, у кого что-то такое было? Какой исход, завтра сдаю хгч и делаю узи.
Лучший ответ
Ольга
И я не поняла, при чем тут ваше сердцебиение? Их спутать невозможно.
Квалификация врачей вызывает сомнения.
05.06.2023
Ответить
Аня Михайлова
Здравствуйте! Что значит " не мое ли это"? Как они могут спутать ваше сердце с сердцем малыша? По размерам просто могут быть аппараты разные, да и врачи.
05.06.2023
Ответить
Ксения
Аня Михайлова, я сама в шоке , сердцебиение под вопросом. Как так то , ничего внятного не говорят
05.06.2023
Ответить
Аня Михайлова
Ксения, единственное возможно что оно визуализируется,а сколько сказать не могут, раз срок маленький. Все равно нужно через неделю ещё раз сходить послушать. Но спутать ваше и ребенка невозможно.
05.06.2023
Ответить
Ксения
Аня Михайлова, 24 мая был ктр 8.3 и сердцебиение 93. А сейчас ктр 5.3 и они не понимают говорят
05.06.2023
Ответить
Ксения
Уменьшаются,они же мумифицируются (иссыхаются). Сб уже хорошо должно быть видно. Переделайте УЗИ в другом месте
05.06.2023
Ответить
Марго
Переделайте узи у нормального специалиста, с новым оборудованием.. а лучше там где делали первое узи
05.06.2023
Ответить