Лучший ответ
Маri
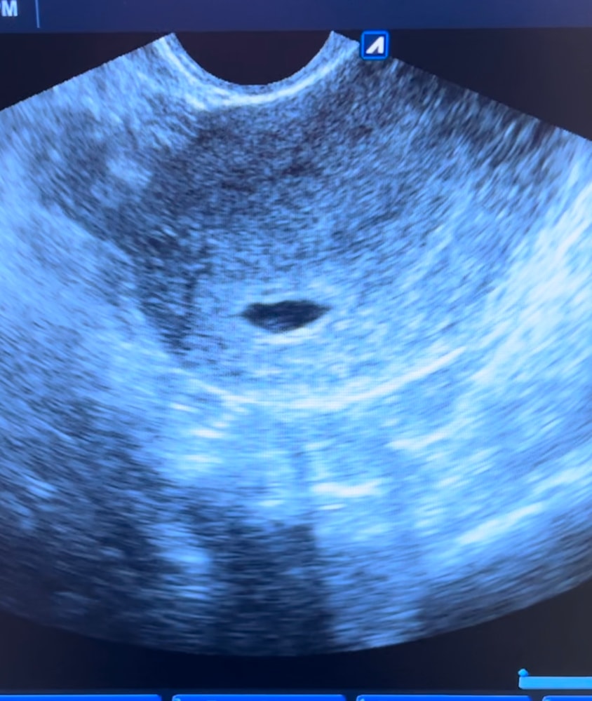
В 6 недель пошла на узи, цена 5к… и они не увидели эмбиончик, только желт.мешочек, передала у своего узиста на хорошем аппарате и все увилили, мою крошку и сердечко)
Вот 1 узи, где аппарат не очень..
И вот переделала
Жалко нельзя видео скинуть 😂 та сердечко видно 🩷
Поэтому лучше переделать и не переживать )
И вот переделала
Жалко нельзя видео скинуть 😂 та сердечко видно 🩷
Поэтому лучше переделать и не переживать )
30.10.2025
Ответить
Виктория Рыгина
Алёна Хаустова, на узи мне утверждали что там нет эмбриона, но смотря на записи у меня какие то сомнения, как будто я тоже вижу что он есть
29.10.2025
Ответить
Алёна Хаустова
Виктория Рыгина, так а пульсацию в чем они увидели?
Я отчётливо вижу круглый ЖМ и к нему присоединен совсем еще крошечный эмбриончик.
У меня в эту беременность видели пульсацию,хотя написали,что сб не определяется,а пульсацию они не отмечают в заключении, мне это покоя не давало,через 3 дня повторила узи,уже сердечко до 142уд разогнаться успело
Переделайте узи для своего спокойствия через пару тройку дней
29.10.2025
Ответить
Алёна Хаустова
Виктория Рыгина, меняйте срочно узиста. Вот честно,аж смешно стало,это на сколько неграмотный врач узи🙀
Жм не даёт никакую пульсацию,он всего лишь питает эмбрион до определённого момента,пока плацента не сформируется
30.10.2025
Ответить
Zaka Deresh
Виктория Рыгина, так не понятно, если на УЗИ увидели пульсацию, то как там не может быть эмбриона? 🤔
30.10.2025
Ответить
Zaka Deresh
Виктория Рыгина, странная врач 😅Пульсация это значит сердечко бьётся , просто еще не уловить чсс и не прослушать. А какое сердце может быть в ЖМ , ну п&здец конечно 🤦♀️Переделайте узи в другом месте, на фото ПЯ не пустое точно.
31.10.2025
Ответить
Наталья
Виктория Рыгина, я не дочитала внизу фото. Все хорошо значит. Я ходила на 6н4д. чуть чуть картинка была повиднее))
30.10.2025
Ответить
Котэ
Сделайте в другой клинике,если сомневаетесь, хотя всё очевидно на мой взгляд)
30.10.2025
Ответить
Оксана
У вас там колечко с бриллиантом)) просто плохое качество
мне Вот при таком узи врач утверждал что там НИЧЕГО нет)))
30.10.2025
Ответить
Виктория Рыгина
Анна, качество самого аппарата не очень хорошее, хотя делала в платной клинике
29.10.2025
Ответить
Анна
Виктория Рыгина, ну я это и имею ввиду) переделайте в другом месте или подождите с недельку, там уже точно видно будет. У меня в 5 недель и 3 дня еще пустое пя было, сб вообще в 7 недель только нашли, поздняя овуляция
29.10.2025
Ответить
