Девочки, что вы видите? это двойня или нет?
Вопросы о беременных и для беременных двойнейВсем привет!) Девочки, нужен взгляд опытных, кто уже прошел через это.
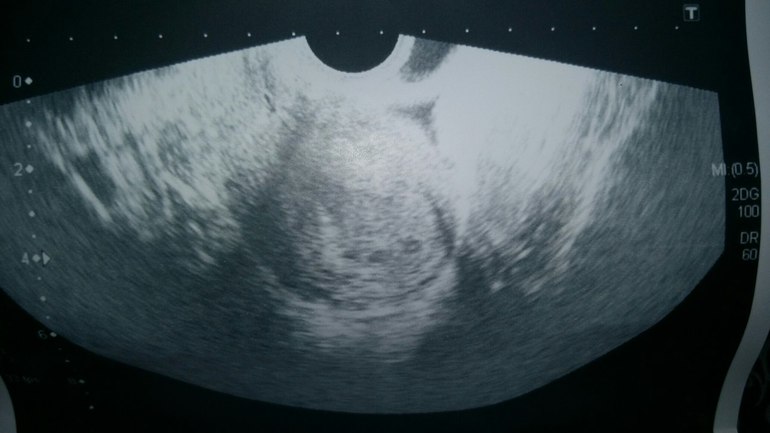
Были на узи. Поставили нам под вопросом двойню. Срок 3 недельки.Но врач сказала, что она не уверена. и добавила-тут либо двойня, либо угроза. Посмотрите, пожалуйста. Может у вас остались снимки с вашего узи, было бы интересно очень посмотреть. и любому мнению буду рада. Вот фото с узи 
ELENA
Ох, теперь бы узи дождаться))) как Вы думаете, если на узи с разницей в неделю сходить, прояснится что-нибудь уже? Или попозже лучше? Спасибо, что не прошли!🌷🌷🌷🌷🌷
02.03.2016
Ответить
Айриди
Я как ошалелая ходила каждую неделю до самых родов😄😄😄 Конечно через неделю картина будет ясной!!!
02.03.2016
Ответить
ELENA
я такая же)) ну, предпосылки есть точно)))) я уже ночами даже спать нормально не могу, все мысли в голове крутятся. на субботу тогда запишусь) хотя бы точно уже знать-один или двое)))
я такая же)) ну, предпосылки есть точно)))) я уже ночами даже спать нормально не могу, все мысли в голове крутятся. на субботу тогда запишусь) хотя бы точно уже знать-один или двое)))
02.03.2016
Ответить
Айриди
А хгч сдавали? Мне хгч и прогестерон с эстрадиолом еще до узи дали плнять что я ПОПАЛА😄
02.03.2016
Ответить
ELENA
Нет. Сейчас уже жалею, что раньше не пошла. Сейчас не знаю, на сколько информативно хгч, вроде он уже удваивается не каждые 24 часа, а дольше. Боюсь не разберусь. Я и подумать не могла, что даже под вопрос могут поставить двоих... у нас в роду нет ни двойни, ни тройни... поэтому мне кажется, что ошибка какая-то😟
02.03.2016
Ответить
Наталья
Тоже вижу три кружочка на втором снимке. У меня в 6-7 недель тоже были две точечки маленьких. А желточный мешок видно было на УЗИ, на снимке рано еще
01.03.2016
Ответить
ELENA
Спасибо большое за ответ! Видно рано еще... интересно, если с интервалом в неделю сходить, прояснится уже что-то или лучше попозже?
01.03.2016
Ответить
Юлия Lapo4ka
Вообще я вижу что то только в одном плодном яйце,срок маленький.Думаю в 7 нед лучше видно было бы
01.03.2016
Ответить
ELENA
Спасибочки! А она мерила левое.. сказала, что справа возможно угроза. Вы правы, видимо, срок слишком маленький... я на двоих практически и не надеюсь. В роду не было. Да и не верится, что со мной такое может случиться. А переживать-то все равно не получается)))
01.03.2016
Ответить
Анна
у меня желтое тело только на левом яичнике появилось. а вот насчет узи - на таком сроке врач пока не хочет точно ничего утверждать, главное что беременность маточная. мне в 4 сказано было, что второй может быть пустым, или не станет развиваться, поэтому везде на своей бумажке вопросиков наставили. я не парилась, думала ай ладно, у нас двоен то и не было ни у кого, я о двойне никогда и не думала, была рада, что маточная. до 11 недель не ходила к врачам больше, пила витаминки. вот неделю назад было 11 я и пошла, а там два человечка на мониторе уже видно. очень рада, я влюбилась в них двоих, но вот теперь я действительно переживаю чтобы они вдвоем так и развивались дальше. а вы пока ждите, может у вас тройня, т.к. на фотке одной действительно три, только третий спрятался поглубже, может поэтому он нечеткий, потому что у меня кроме двух точек ничего даже нечеткого не показывало. в общем ждите, потом расскажете.
29.02.2016
Ответить
ELENA
Спасибо огромное за столь развернутый ответ! Многое прояснилось. Например, что это не обязательно наследственность. У нас в роду тоже не двоен, не троен нет.Вот это выдержка у Вас) я б до 11 не вытерпела точно)😊 пойду в субботу или в понедельник на узи, отпишусь тогда)🌹🌹🌹🌹🌹
01.03.2016
Ответить
Лена
Вижу даже три кружочка, два явно видно, и точечки внутри, третий мутный такой. В 7-8 нед будет понятно.
29.02.2016
Ответить
ELENA
спасибо за ответ!)) третий на снимке видимо так получился. на экране вот было отчетливо 2 кружочка. но сказала, что это может быть и просто угроза... вот теперь бы дожить до следующего узи...))))
29.02.2016
Ответить
Orchid
А желтых тел найдено сколько? Обычно придвойне желтое тело находят в правом и левом яичниках.
29.02.2016
Ответить
Orchid
У меня в 3-4 недели было видно только одно плодное яйцо. В 7-8 уже было два. Но всякое бывает. Похоже, что у вас двойня...
29.02.2016
Ответить
ELENA
вот про желтое тело она вообще ничего не сказала... и не написала. сказала только, что овуляция была в правом яйчнике и все, контроль через 10 дней...
29.02.2016
Ответить
Дааа)) я не расстроилась ни капельки, что один))) Тем более чувствовала это