Гематома или второе плодное яйцо?
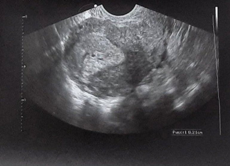
УЗИ, КТГ, доплер, скрининг, ХГЧ и другие анализыДевочки, узи делала неделю назад. На повторное завтра, страшно...и все же решила написать, вдруг у кого та уже было. Как вам кажется, что это рядом с плодным яйцом?

П.с. беременность пятая, в роду двойни нет. Врач ничего не сказала.
Счастливая Мама
Здравствуйте! Что в итоге у вас было ? У меня сейчас такая же ситуация (
21.12.2022
Ответить