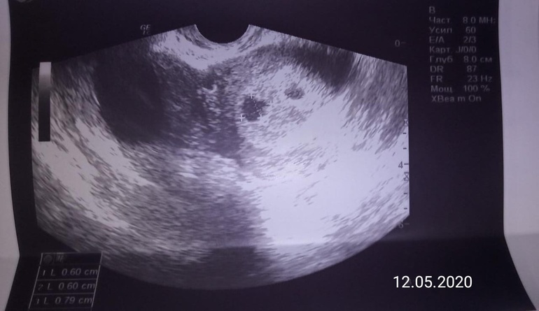
Узи 7,5 недель
УЗИ, КТГ, доплер, скрининг, ХГЧ и другие анализыПодруга попросила узнать.
Сходила на узи, 7,5 срок
Пя как положено, ктр эмбриона 15 мм
Сбоку увидели что то и не определили, гематома или второе пя? Вроде пустое.
Никто не сталкивался с таким?

Мария
Такая же ситуация. В 5 недель увидели одно плодное яйцо нормальной формы, второе деформированное. Под вопросом двойня, но сказали втрое скорее всего не будет развиваться. Через 7 часов на УЗИ, уже 7,5 недель как раз как у Вас. Лежу не могу уснуть, думаю все, что покажет. Обязательно напишу, что сказали на УЗИ и Вы тоже пишите что и как. Очень похожи ситуации.
Такая же ситуация. В 5 недель увидели одно плодное яйцо нормальной формы, второе деформированное. Под вопросом двойня, но сказали втрое скорее всего не будет развиваться. Через 7 часов на УЗИ, уже 7,5 недель как раз как у Вас. Лежу не могу уснуть, думаю все, что покажет. Обязательно напишу, что сказали на УЗИ и Вы тоже пишите что и как. Очень похожи ситуации.
24.05.2020
Ответить
Мария
Только вышла с УЗИ - один, во втором полном яйце "каша", несостоявшаяся двойня. С первым все хорошо, сердечко стучит.
25.05.2020
Ответить
tani
Первое УЗИ 7 недель сердечко 124 уд.КТР 2 ММ, то есть был один,, в 11 недель однояйцовая двойня нашли второго
24.05.2020
Ответить