Девочки, скиньте свои скрины или фото малыша на 13-14 недели
ЗаморочкиЖивем не в России и на узи так как я из язык не знаю она мне не смогла ни чего обьяснить
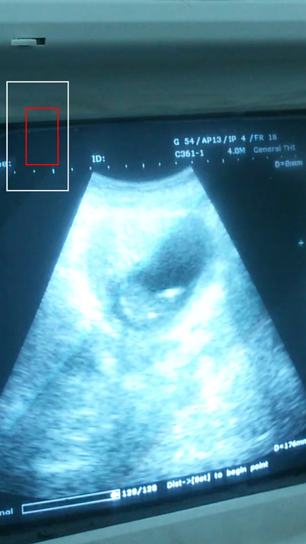
Вот мой ляль, не маловат как думаете, успеваем? Аппарат тоже был не очень, в общем не знаю разглядите ли чего 
beauty_lisha
Вам выдали заключение? Там должно быть написано CRL- он же КТР. И GA 13w1d - он же акушерский срок. На самом УЗИ, когда замеры делают, в правом нижнем углу обычно пишутся эти показатели. По вашей фотографии не понятно...
23.08.2015
Ответить
beauty_lisha
Малыш соответствует 10+5 акушерским неделям. А по месячным у вас, я так понимаю, 15+4. Вообще отставание в 5 недель это много... Но если ребенок растет, движется, сердечко бьется, может вы неправильно считаете дату зачатия/овуляции/последних месячных?
23.08.2015
Ответить
beauty_lisha
По месячным у вас должно быть почти 14 недель. По УЗИ поставили почти 11. А цикл у вас длинный? Овуляция когда была знаете?
23.08.2015
Ответить
Нона Дзукаева
Теперь я запереживала..... Что дклать теперь? Что бы догнал И что на это влияет?
23.08.2015
Ответить
Анна
а заключение УЗИ не дали что ли? Дома можно было бы перевести его и понять что там и как...
23.08.2015
Ответить
Александра
хм...странное узи,если честно....наверное аппарат такой..а что про малыша говорят???????если судить по фотке,то у нас малыш так выглядел в 7нед+6дн
а вот так малыш выглядел в 12-ть недель+ 2 дня
а вот так малыш выглядел в 12-ть недель+ 2 дня
23.08.2015
Ответить
Нона Дзукаева
Не не уж точно не 7 нелель)))) Просто то что я паказала фото это отрывок из видео, на самом леле видно что крупнее. Просто в россии на новых аппаратах ручки нодки все видно а тут пятно одно и все... ((
23.08.2015
Ответить
Александра
Ну вон справа на фотке со скрининга малыш махает и видно все 5 пальчиков) Я б на вашем месте узиста и аппарат поменяла бы)
23.08.2015
Ответить
мамаДи
Прям во всем огромном многомиллионном городе такие фиговые аппараты))))) чай не в деревне живем,меняйте больницу. У нас тоже все видно было уже на этом сроке. А про отставание в недели две,я бы не стала сильно переживать. Детки растут скачками,да и разные ведь весь. У нас бывало опережала на пару недель,а потом некоторые показатели отставали,потом опять нормально. Думаю,если было бы что-то не так,то врач бы вам сообщил
23.08.2015
Ответить