28 недель беременности 🥰
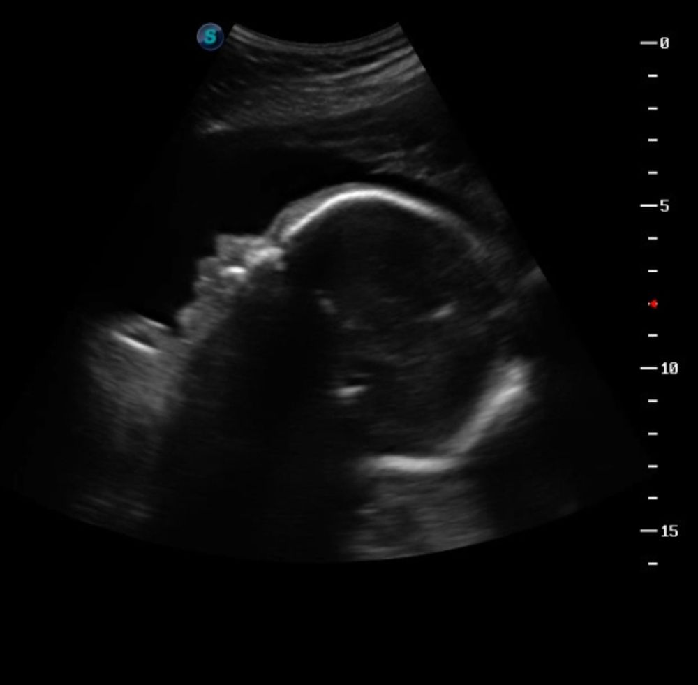
Мои неделькиСходили на встречу с нашим солнышком 💙 Перед УЗИ порадовала его гранатовым соком, чтобы он не сидел в одном положении и наконец-то показал нам носик. А то в прошлый раз как лежал анфас, так и не сдвинулся с места 😂
Сразу же с первых секунд на экране показалось личико. Роман Антонович уже такой щекастенький и губатенький, я не могу 🥹 Лежал причмокивал губами, трогал указательным пальчиком носик, разминал перед собой кулачки. Пинал датчик, из-за чего долго не получалось померять некоторые параметры 😁 Но всё равно хочется его похвалить. Сегодня помогал нам, позировал на славу. Наш любимый мальчик 💙
Как я шутила сегодня с подругами: «Я настолько люблю носатых мужчин, что рожу такого же» 🤣 Не могу налюбоваться на профиль: такой точёный 😍 Мне кажется, на мужа будет похож. Счастье 💋
По всем параметрам малыш соответствует сроку. Кровотоки отличные, шейка тоже порадовала. Всё хорошо 💙🙏🏻 Записалась на третий скрининг на 15 мая. А там туда-сюда - и возьмём нашу крошку на руки. Поскорее бы наступил этот момент 😍 Родов боюсь до одури, но желание увидеть малыша сильнее.
Дай Бог, чтобы и дальше всё шло спокойно, размеренно, без лишних переживаний вплоть до ПДР 😇🙏🏻
Лучший ответ