Срочно! Что посоветуете сделать?
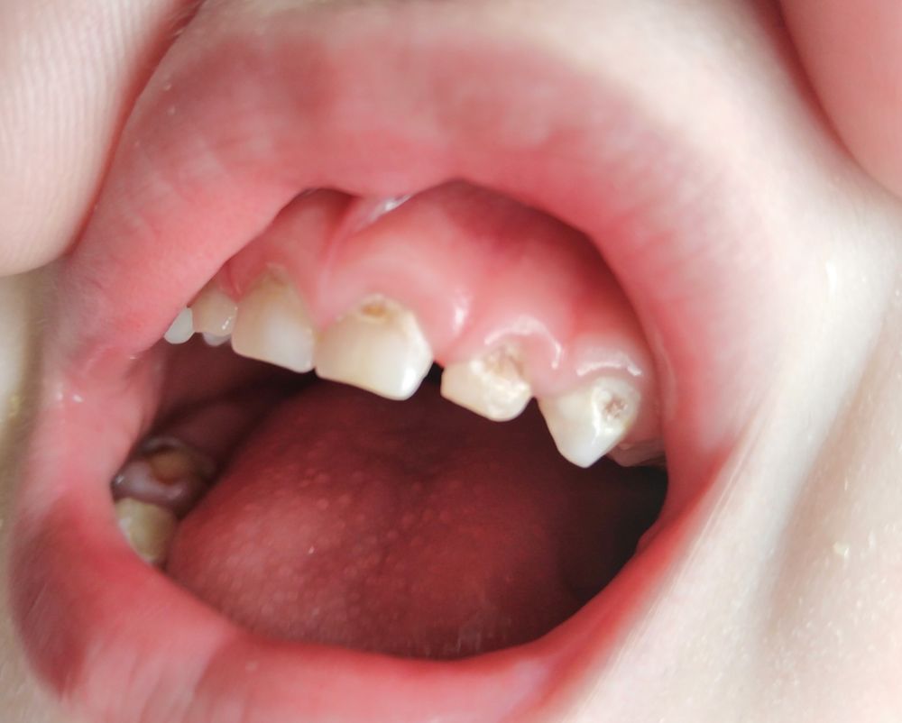
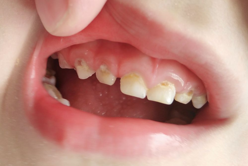
Стоматология и ортодонтияСтоматолог, которая лечила нам зубы (платно, она очень хорошая) говорит, что не надо лечить передние зубы. Нам 4 года и что они скоро выпадут, а мы лишние деньги зря вывалим. Есть ли угроза сепсиса или того, что кореные вылезут такие же? Интересно услышать мнение тех, у кого были такие зубы или у их деток... А также стоматологов. Может, есть супер средство, без лечения?(Москва и Питер, поделитесь рассказами)


Лучший ответ
Netti
Странный у вас врач. Я бы к другому начала ходить. Лечить нужно.
У сына единицы и двойки сменились к 7,5 годам.
Сейчас ему 11 лет, и вот только выпала первая четверка.
Клыки стоят как вкопанные.
Как вы собираетесь с такими единицами и двойками ходить до 7 лет?
Как с такими клыками ходить до 10-12 лет??
Если вы потеряете эти зубы из-за кариеса - нужно будет носить протез.
21.03.2021
Ответить
Belko
если не лечить кариес на молочном, он может перейти в пульпит, а там и начать вредить постоянному, что лезет под ним. раннее выпадание/удаление зубов чревато в будущем стать клиентом ортодонта, а они нынче не дешевы
21.03.2021
Ответить
наиля
А у кого лечите зубы? Мы у буренковой в евромеде. Вчера тоже на странного доктора нарвались, удалить хотела без лечения
22.03.2021
Ответить
Натали
Наш стоматолог за то, чтобы лечить все больные зубы. Сыну сейчас 9 лет и ни один молочный зуб сам не выпал! Мы делали снимок и начали удалять. Вы же не знаете во сколько у вас молочные зубы сменятся и что, с такими больными зубками ходить несколько лет?
21.03.2021
Ответить
Мария
Обязательно лечить, пока не запустили сильно.
У старшего был так называемый бутылочный кариес (глупая была, сама виновата, но и плюс зубки ранние, в 2,5 мес вылезли, врачи говорят эмаль не успела окрепнуть, не знаю насколько это так). Были повреждены верхние резцы, благо хватило ума не повестись на уговоры врачей, а заняться лечением.
Первый раз лечили в 2 года и 5 месяцев. Лечили платно в детской стом.клинике без наркоза. В последующем пломбы часто выпадали , но мы сразу бежали и ставили опять, в общей сложности более 10 раз. Плюс пользовались гелем тусс мусс, гель дорогой, но мне показался эффективным. Сохранили зубы до смены.
21.03.2021
Ответить
Мария
Алеся, это реминирализующий гель. Он укрепляет эмаль.
У Рокс есть аналог, но он слабее
22.03.2021
Ответить
Мария
Мария, пользовались года 3, до смены этих проблемных зубов. Минус в том что его купить нельзя. Дочке мазала гелем как только зубки первые пошли. Не знаю помогло или нет, но зубки у неё на порядок лучше.
23.03.2021
Ответить
YliliA
У нас года в 4 верхние боковые резцы на контакте кариозные стали, ждали, пока выпадут, один вот в 7 лет ещё держится... нам их только серебрили, типа на передние пломбу не поставить.
21.03.2021
Ответить
Елена
Эти зубы отвалятся, и останутся пеньки, это не только некрасиво, но и вредно, да потом на ортодонта больше денег потратитесь. Мы лечили.
21.03.2021
Ответить
Vic
Не знаю поможет ли, но мнение нашей стоматологии лечить только те молочные зубы, которые или не скоро выпадут, или легко лечатся. Все что сложно или глубоко, шатается - на удаление. Коренные такие же не будут. Но клыки все же сменятся не скоро, это годы, поэтому я бы все же пошла к другому доктору.
21.03.2021
Ответить
Леночка
Моему скоро 9 лет!!!! Полон рот молочных зубов, передние верхние вот только шататься начали! Конечно надо лечить!
21.03.2021
Ответить
Оставшиеся комментарии доступны после регистрации
Зарегистрируйтесь и получите полный доступ ко всем функциям сайта.