Желтое тело или киста ?
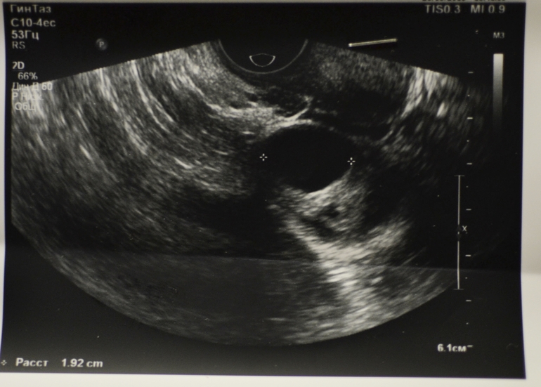
ФолликулометрияДорогие девушки , кто сталкивался с тем , что не могли определить на узи - чем является анэхогенное образование? Прошу помощи , так как уже бессонница от того , что не знаю с чем столкнулась. К гинекологу записана на четверг следующей недели.Может ли это быть жёлтое тело ? 21 день задержки. Три теста отрицательные. По результатам узи : 
Вивьен
Скорее всего фоликулярная киста, края ровные у жт не такие, фоликулярные часто вызывают задержку
24.03.2016
Ответить
Mary-ka
Мне кажется, что это киста желтого тела. Исходя из того, что есть жидкость в области малого таза. Киста вырабатывает много прогестерона, от нее бывают задержки.
24.03.2016
Ответить
Алиса
Спасибо за ответ ! Да ведь и киста совсем маленькая, у меня 47 мм была, и то месячные всё равно так долго не задерживались.
24.03.2016
Ответить
Mary-ka
У меня была такая же как у вас сейчас, М задержались на 4 дня. Но я думаю, что количество прогестерона зависит не от размера, а скорее всего от кровотока.
24.03.2016
Ответить
Алиса
Всё же 4 дня , не 21 , поэтому и в замешательстве... Беременность маловероятна, как думаете ?
24.03.2016
Ответить
Алиса
Нет. Разве что возле пупка кололо словно иглой недельку назад, но это ведь всё что угодно может быть,ерунда наверное.
24.03.2016
Ответить
Алиса
Размеры : 31*28*34
Форма :грушевидная
Структура миометрия : однородная
Эхогенность :средняя
Шейка матки : 33*21 мм, толщина эндоцервикса в 1 слой 4мм,церквиальный канал расширен на всём протяжении до 1,5 мм. Васкуляризация шейки умеренная.
Эндометрий :6 мм толщиной
Структура : однородная
Эхогенность : изогиперэхогенная в 2 слоя
Контуры : ровные ,чёткие
Очаговые изменения : нет
Полость матки : не расширена
Узи от 20.03.16
24.03.2016
Ответить
Mary-ka
Исходя из УЗИ Б нет.. Матка не увеличена. Но если все таки питаете надежды, то самый верный способ сдать кровь на ХГЧ.
24.03.2016
Ответить