Узи.Кто разбирается?
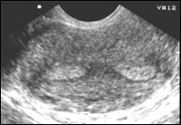
ФолликулометрияБыла на узи на 21 дц.Прикрепили мне вот такое фото,что-то написали.Сразу не посмотрела,а теперь интересно-это вообще что?
Дополняю:

И да,спасибо девочки,после ваших комментариев нашла ответ на свой вопрос: 
Елена
Последнее слово Ановуляция. Рек-но гистероскопиия, а дальше непонятно. Мне по УЗИ ставили то двурогую, то седловидную матку, оказалась полная перегородка.
23.08.2016
Ответить
В ожидании чуда
Узист сказал перегородка есть,но она незначительная и наступлению б не мешает
23.08.2016
Ответить
Аленка 001
Ого) первый раз такое вижу .. Да, интересно очень что в заключении написали
22.08.2016
Ответить
В ожидании чуда
Хр. Эндометрит,седловидная матка и что-то еще,не могу разобрать.Добавлю фото узи в пост для полноты картины
23.08.2016
Ответить
Лилия
Вообще очень интересное фото) внузу подписано м эхо, но почему два???
а в заключении что написано?
а в заключении что написано?
22.08.2016
Ответить
Елена
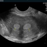
У меня подруга, беременная двойней такое скидывала) но я думаю точно рано)
22.08.2016
Ответить
Оставшиеся комментарии доступны после регистрации
Зарегистрируйтесь и получите полный доступ ко всем функциям сайта.

