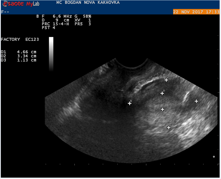
Мой результат УЗИ на 16 ДЦ Кто что может сказать? Тест на О положительный на 13 и 14 ДЦ.
Фолликулометрия

Дарья
в протоколе узи не слова о наличии доминантного фолликула, поэтому вряд ли была или будет овуляция в ближайшие дни
28.11.2017
Ответить
Аааааааа
Могли желтое тело не увидеть, а мог и сдуться фоликул, и не было овуляции. А то что эндометрий хороший - еще не показатель, у меня при здутии фолликула и при лютеинизации фолликула он тоже был отличный и соответствовал второй фазе.
У себя я еще по БТ вижу, что О была или нет. Если БТ не выше 36,7 - значит О не было, но это информативно, если вы знаете какая у вас обычно БТ в 1 и 2 фазах.
28.11.2017
Ответить
Надежда
Та у меня по графику О га 11 дц получилась, а тесты молчали до 13 дц. Думала, что узи прояснит картину, а теперь ещё больше запуталась. По ощущениям тоже О была около 13-14 дня
28.11.2017
Ответить
Аааааааа
тогда может еще через пару дней пойти на узи, только к другому специалисту, и как вариант на 7-8 дпо сдать прогестерон. Мой Ре говорит, что это маркер овуляции.
28.11.2017
Ответить
Надежда
Ну, я уже в этом цикле только хгч сдам. А на узи можно будет следующий цикл проследить. А вот на счет прогестерона, анализ информативным не будет по словам моего Г, так как принимаю Дюфастон
28.11.2017
Ответить
Маша
Может не увидели жт? Или не успело сформироваться.. Лично не сталкивалась, но читала, что бывает его не видят. Ведь эндик второй фазы у вас.
28.11.2017
Ответить
Надежда
Мне мой Г говорил, что нет смысла в этот день делать УЗИ, что не увидят, была ли овуляция. Может по этой причине?.. В любом случае, буду сдавать через пару дней ХГЧ. Хотя не обязательно наступит Б даже при наличии О, но всё же...
28.11.2017
Ответить
Маша
Какой день имел в виду Г? 1 дпо? По идее узи должно хорошо отображать картину в любой день.. Но просто видимо бывает, что узист что-то не разглядит, может аппарат не очень. У вас О вероятно была на 15 дц. А до этого не делали узи в этом цикле? Для точности О можно и прогик сдать. Но нам важнее конечно хгч))
28.11.2017
Ответить
Надежда
Ну да, я ему говорила, что тесты на О полосят на 13-14 ДЦ, а узи собралась на 16 ДЦ, он мне сказал, что не информативное будет. Потом прислала ему узи, написал что нормально. А что нормально, кто его знает?
А прогик тоже нет смысла сдавать, я же на Дюфе сижу. Так что буду ждать 24 ДЦ и сдам ХГЧ... В этом месяце ну прям актиииивно работали
Надеюсь и жду....
А прогик тоже нет смысла сдавать, я же на Дюфе сижу. Так что буду ждать 24 ДЦ и сдам ХГЧ... В этом месяце ну прям актиииивно работали
Надеюсь и жду....
28.11.2017
Ответить
Анастасия
судя по узи овуляции не было,доминантного фолликула нет. хотя желтое тело может позже сформироваться
28.11.2017
Ответить