Узи и срок беременности, отставание.
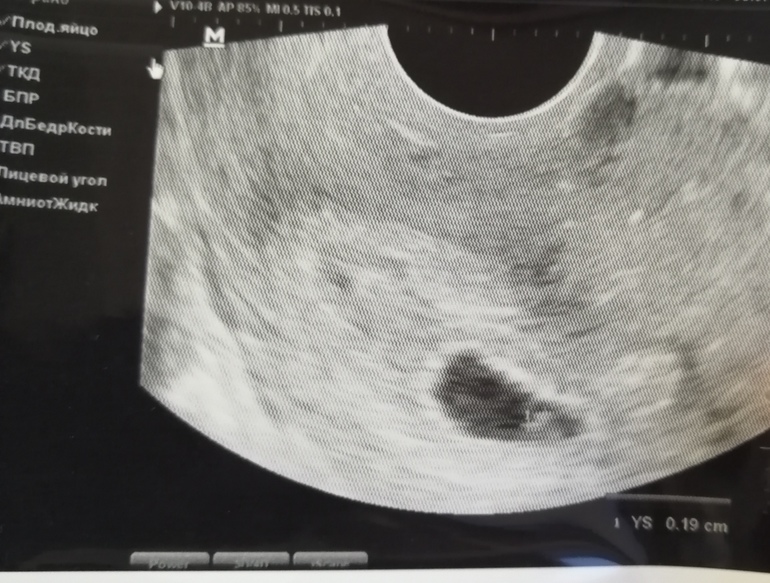
ФолликулометрияБыла на узи, надеялась увидеть эмбриона, увидели только плодное яйцо 1,58 см и сказали что срок беременности 5+3.
Т.е получается
По месячным (5авг) - 7+1 срок
По овуляции (примерно 25 авг) - 4+1 эмбриональный срок
И теперь по узи 5+3 акушерских. Сердца естественно нет пока, эмбриона нет пока.
Отставание по срокам это норма, или плохой знак?
Поздняя овуляция прям геммор в подсчёте сроков. И нервы треплят теперь. На повторное узи в субботу.

Лёся
Именно поэтому я не говорила врачу, когда у меня на самом деле были месячные, а отсчитала от овуляции 14 дней и всё, никаких проблем
Но я знала дату овуляции +/- часов 12, поэтому было проще.
На сроке 5+6 у меня не увидели эмбриона, даже желточный мешочек не увидели, потом в конце узи что-то зафиксировали в углу, прям как у Вас. Так что, на мой взгляд, ничего страшного пока не произошло, особенно, если имплантация была на пару дней позже. Фото узи на 5+6 прилагаю.
Но я знала дату овуляции +/- часов 12, поэтому было проще.
На сроке 5+6 у меня не увидели эмбриона, даже желточный мешочек не увидели, потом в конце узи что-то зафиксировали в углу, прям как у Вас. Так что, на мой взгляд, ничего страшного пока не произошло, особенно, если имплантация была на пару дней позже. Фото узи на 5+6 прилагаю.
25.09.2019
Ответить
Светлана
Спасибо))) я тоже уже думаю что при постановке на учёт "подправлю цикл"))
25.09.2019
Ответить
Это будет мой год
А вы уверены что овуля была примерно 25? А вдруг позже? Тогда всё должно сходиться. У девушки одной так было, что овуля была позже и тоже ставили отставание, потому что врач позднюю овулю не признала у неё
24.09.2019
Ответить
Polly
мои сроки на вчера :
акушерский 7 нед и 1ден
эмбриональный по овуляции(точная) 2 недели + 6 дней(!!!)
по узи акушерский срок 5+3 вчера поставили с пя 5,2*4,7 (!!!)
так что! сами если примерно знаете дни овуляции, к ним прибавляйте 2 недели и это ваш акушерский срок к которому все так привыкли.
24.09.2019
Ответить
Полина
Странно что при размере ПЯ 16 мм ставят срок 5+3. По всем табличкам это 6+3 как минимум. Так что примерно сходится со сроком по Вашей овуляции. Через неделю уже должен быть эмбрион)
24.09.2019
Ответить
Александра
У нас с вами получается одинаково овуляция на 20 дц была.... у меня тоже на неделю " моложе" , как сказала Г . Но сказала что это из-за поздней овуляции и ничего плохого в этом нет. Посмотрела узи с первой Б там вообще расхождение в 2 недели было аж до 3го триместра, потом стало 1 неделя... Но в первую такой " умной" 🤣 не была и даже внимания на это не обращала..сказали все хорошо , значит все хорошо🙈
23.09.2019
Ответить
Александра
Вот - вот! Меньше знаешь, крепче спишь! Не переживайте! У меня в 5, 5 тоже никого не нашли
23.09.2019
Ответить
Катерина Иванова
У меня О была поздняя и расхождение сроков было 2 недели, сейчас уже день в день. Так что не переживайте, считайте по УЗИ. Лёгкой беременности вам 🌼
23.09.2019
Ответить
Александра
Т.е вы в предложениях ( в которых пишется развитие и тд) ставите дату ,которая по узи?
23.09.2019
Ответить
Катерина Иванова
Да, везде ставила дату по УЗИ. Где-то на 16 неделе сроки выровнялись и теперь срок по М и по УЗИ у меня одинаковые.
23.09.2019
Ответить
lilinamal1234
Если овуляция позже, то пусть будет акушерских 6 и 1, ну могли еще не увидеть, шанс есть конечно
23.09.2019
Ответить
Dana_Mr
Итого срок акушерский сколько ? Недель 8 или как ? Если 8 , то ктр по идее должны уже померить и сердцебиение тоже.На 4 неделях, там только бусинка и до эмбриона ей далеко.Ну недели еще точно.
23.09.2019
Ответить
Светлана
По узи 5+3, а по м 7+1, я хз какой у меня срок, в календаре б поставила по узи.
23.09.2019
Ответить
Светлана
Ну т.е особо сильно переживать не стоит?) врач у меня просто немногословная, а когда она молчит, я нервничать начинаю.
23.09.2019
Ответить
Битлджус
У меня просто циклы длинные и овуляция поздняя) я по этому и не переживала)
Когда пришла на узи, была получается был 37-38 ДЦ, а Б под вопросом поставили, но эндик был 19 мм, явно беременный)
Сейчас идет 8 неделя, а по М 9, более менее сравнялось)
Если у вас тоже поздняя О, то не переживайте)
23.09.2019
Ответить