Полип??? Опяяяяять???
ФолликулометрияДевочки, привет.
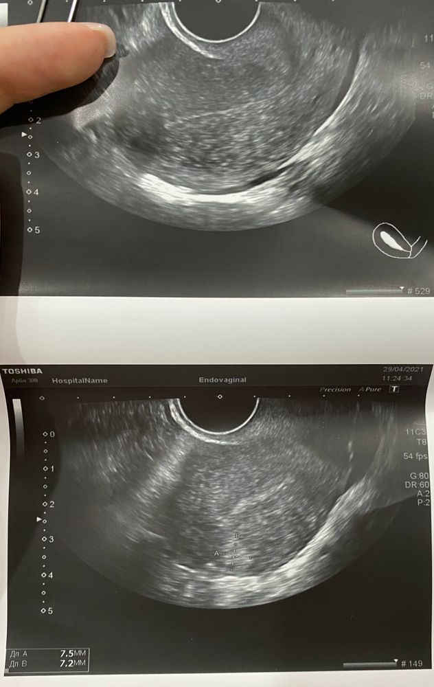
В прошлом цикле мне делали гистероскопию, убирали полип. Пошла я на узи после месячных и... что за участок повышенной эхогенности в эндометрии?
Узист сказала, что полипом назвать это не может пока с уверенностью, слишком все незначительно. Неужели опять полип растёт? Только же все убрали... К г попаду только после праздников.
Ко всему прочему на 8 д.ц. за маткой откуда-то взялась свободная жидкость, но тоже в очень маленьком количестве. Я в замешательстве... Откуда могла взяться?

Солнце
Может его не убрали до конца ? Скажите , что вам приписали после операции? Кок или дюф ? Мне в следующем месяце делать
29.04.2021
Ответить
Nata
Солнце, вот я и не знаю.
мне почему-то врач решила ничего не прописывать🤷♀️
30.04.2021
Ответить
Солнце
Nata , а вы беременеть хотите ? Мне одна врач говорила надо ок пропить от рецидива, а вторая что зачем ок если вы планируете ... склоняюсь не пить конечно , может максимум дюфастон
30.04.2021
Ответить
Солнце
Дарья1919, я не автор, но мне врач говорила потому что полипы видно сразу после месячных пока ендометрий не вырос
29.04.2021
Ответить