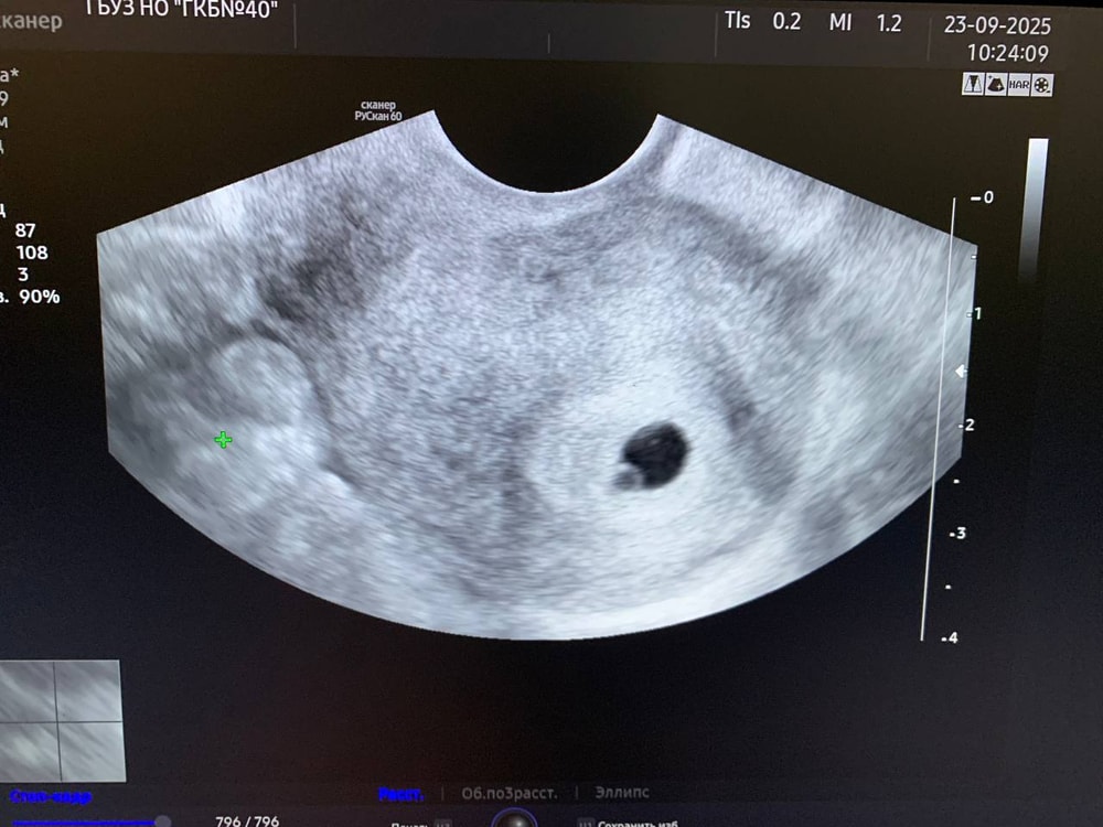
Прокомментиуйте, пожалуйста, УЗИ
УЗИПосле 11 лет безуспешны попыток, вдруг появилась надежда...
Была сегодня на УЗИ для подтверждения беременности. Последние месячные были 8.08.25г., т.е. по ним срок 6 недель. На УЗИ еще не увидели эмбриона, сказали что вроде срок меньше 6 недель. Точную дату зачатия не знаю, поэтому срок сама не могу уточнить, но цикл у меня 31-34 дня.
Посмотрите, пожалуйста, УЗИ. Может ли из такого все таки вырасти эмбрион?
На следующее УЗИ иду через неделю.

Karii
Вам никто тут не скажет ни по снимку ни по чем. Только смотреть динамику узи
Есть вариант поздней овуляции, тем более при таком цикле в 34 дня и разница с акушерским тогда будет 5 дней
Если так, то переживать не о чем
По акушерским неделям впервые сб у эмбриона я услышала в 7.1 недель, где по факту с овуляцией на 22 день цикла - это было 6.1 недель
23.09.2025
Ответить
Ольга
Kari, буду надеяться на лучшее! Первая беременность, даже ЭКО не помогло, а тут само... Ну не может она не свершиться)
23.09.2025
Ответить
Алина
По последним М у вас срок уже 6.4, у меня в этот раз в 6.5 уже нашли сердечко
Но возможно у вас была овуляция позже, у меня цикл стандартный 28-29 дней , поэтому шанс есть
А плодное яйцо? Какие размеры? ЖМ?
Пускай все будет хорошо
23.09.2025
Ответить
Анель
Такая же ситуация . Седня сегодня сходила на узи , последние месячные 19.08.25 . На узи не увидели , сказали маленький срок по расчетам . Тесты абсолютно все 2 полоски.
23.09.2025
Ответить
Ольга
Анель, у меня и тесты с двумя полосками и ХГЧ растет. По крайней мере на прошлой неделе рос...
23.09.2025
Ответить
Анель
Ольга,у меня если акушерских 5 недель . То эмбриональных всего 2 ( по факту) . У вас всего 3 недели . Ладно подождем 2 недельки и сходим .
23.09.2025
Ответить
Анель
Анель, 7 лет ждали . Соски ужасно болят, тошнит . Все тесты показывают. Жду результата хгч
23.09.2025
Ответить