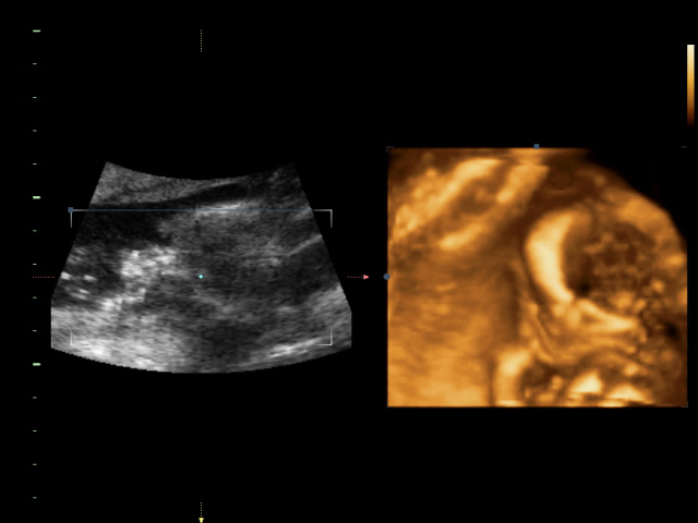
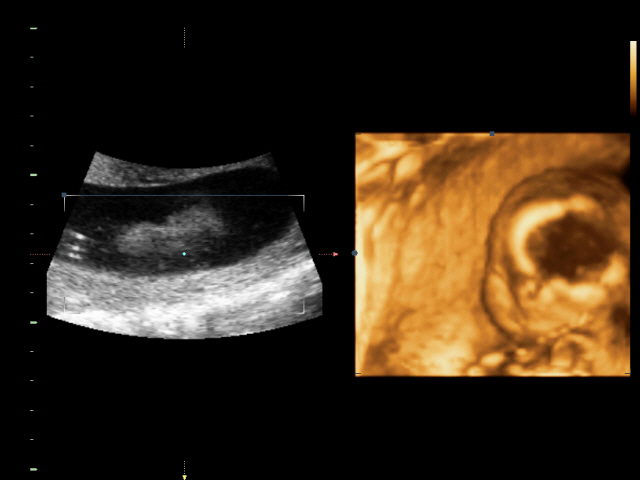
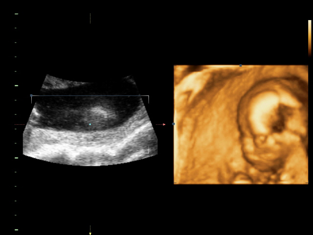
Поход на 4D УЗИ
УЗИ, КТГ, доплерСходили всей семьей на 4D УЗИ! Определили нам пол окончательно и бесповоротно! Мальчик! Показали писюн! Так здорово! Я просто поверить не могу! А ведь он мне два раза снился! Настоящий реальный мужчина! Все показатели у нас в норме. 






