Мальчик или девочка?)
Пол малышаНасущный вопрос) предлагаю всем желающим поучаствовать в отгадывании загадки от моего малыша)) "Ребус" в фото под кат...)
Это фото нашего малыша с УЗИ в 12 недель и 4 дня. Узистка достаточно уверенно озвучила нам половую принадлежность, но не буду ее писать, чтобы ваше мнение было объективным и ни что на него не влияло) мой кружочек розовый - просто потому что очень хочу девочку)

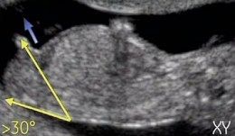
А вот фото, которые я нашла на просторах интернета с "инструкцией" на мальчика
у мальчика половой бугорок со спинкой образуют угол в 30 градусов

У девочек Угол со спинкой меньше 30 градусов

И вот еще фото

Все фото-примеры как раз рассказывают про определение пола на 13-ой недельке
Как думаете - кто у нас?)
Полина
Я, если честно, даже не заметила))))) но это на суть не влияет, так как узистка нам озвучила, что по ее мнению - это девочка) но ради интереса и забавы ради, устроила этот опрос)))...просто забавно, что у нашей девочки как будто маленький писюньчик там торчит))) да и совсем скоро второй скрининг, думаю, что там уже всё очевидно будет)
08.10.2015
Ответить
Кристина ( Счастливая МАМА )
)))) я тоже хотела девочку, и до сих пор снится девочка) но все пророчили мальчика- УЗИ подтвердило. настраиваюсь на сынулю и начинаю набирать приданное)
08.10.2015
Ответить
Полина
А у меня муж очень хочет девочку...я боюсь, что он сильно расстроится, если вдруг у девчули что-то отрастет(....а вместе с ним расстроюсь и я, хоть мне и хотелось бы, чтобы первым был мальчик...а потом - девочку)
08.10.2015
Ответить
Кристина ( Счастливая МАМА )
Ну ещё чуть вам осталось подождать и узнаете) А после того как родите наверно будет уже всё равно кто)
08.10.2015
Ответить
ღНаташка Ш ﭢ ﭢ ﭢ ﭢ ღ
дочка)
бугорок почти под прямым углом
мне так тоже дочку определяли
04.09.2015
Ответить
Полина
Оооо, здорово)) как раз надеялась на комментарии тех, у кого была похожая картина)
04.09.2015
Ответить
Светлана
Это вообще может быть пуповинка между ножек, уж больно сильно выпирает) предполагать не буду, желаю чтоб ваши пожелания совпали на следующем узи с полом малыша)
04.09.2015
Ответить
Полина
Спасибо большое) но думаю, что это не пуповина, так как это фото сделано с видео - а на видео малыша показывали со всех сторон и было видно, что бугорок с пуповиной не связан)
04.09.2015
Ответить
Оставшиеся комментарии доступны после регистрации
Зарегистрируйтесь и получите полный доступ ко всем функциям сайта.