Повторное УЗИ
Изменения и болезни во время БОх, была я на УЗИ, пришла домой вся на эмоциях!😍
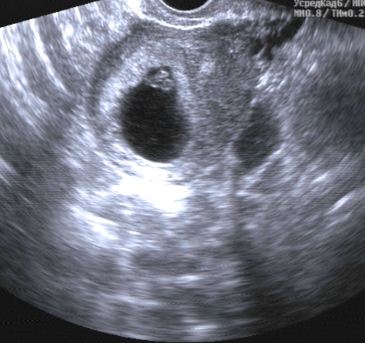
Прошлый раз ПЯ было всего лишь 3 мм, а сейчас - 25! А внутри - эмбриончик 9,5 мм длиной. 😍 А самое главное - мне врач показал мааааленькую пульсирующую точечку, сердечко моей крохи. И дал послушать, ЧС 135 ударов в минуту.🤗
На прошлом УЗИ, почти три недели назад, у меня была жидкость в околоматочном пространстве, еще какой-то там след от кисты, а сейчас - все чисто. Утверждает, что все хорошо и оно просто рассосалось. Матка в размерах тоже чуть увеличилась уже.
В общем, все хорошо, из рекомендаций - кушать часто и небольшими порциями, не злоупотреблять всякой химией вроде чипсов и фаст фудов, но самое главное - прислушиваться к своему организму. И если что-то очень хочется - то не отказывать себе, в разумных пределах разуется.
Анализов пока никаких не надо, на учет аж через месяц.
Ох, вроде я успокоилась, и переживания миновали 😌 Интересно, надолго ли 😁
Зато теперь уже пожалуй пора обрадовать будущих бабушек и дедушек, а то они пока не в курсе о предстощем пополнении.

Ну я пока настраиваюсь, чтоб завтра рассказать. .О плохом стараемся не думать! Так что, все у нас будет хорошо!!!
Супер! Очень рада, хорошего дальнейшего развития^^