1 Скрининговое узи
Вопросы про УЗИ, обследования и анализы: что, где, как, когда?


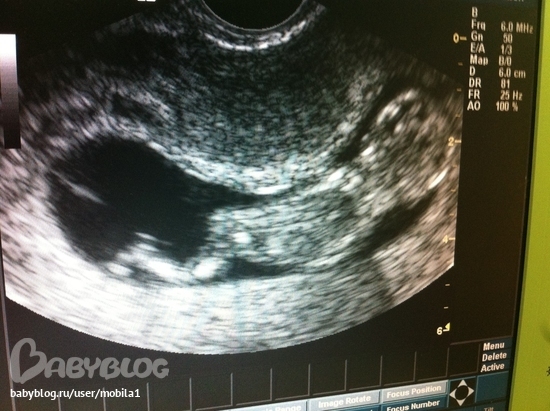
Сегодня ходила с мужем на узи. Это было здорово!!!! Он ворочался во все стороны, махал ручками и ножками. Мы не думали что они такие активные на таком маленьком сроке - 12 нед и 3 дня : ))))) Есть вероятность что будет мальчик, надеюсь так и будет!
Сердцебиение - 150 уд.
КТР - 58 мм
Диаметр желточного мешочка - 7 мм
БПР - 19 мм
ЛЗ - 23 мм
ТВП - 1,1 мм
ДБ - 7 мм
Если кто-то знает объясните что означает весь этот шифр? Знаю только что значит КТР.
Карина
А как вам узи делали вагинально или по животу?:)живот уже был на таком сроке?у меня 12 недель будет в конце января..узи 29 числа..Так сказали будет вагинальное узи..Боюсь не вредно ли это для малыша..
04.01.2013
Ответить
Александра
это узи первой беременности. В первом триместре они делают узи вагинально, а потом только снаружи. После 3 месяцев меня гинеколог даже ни разу не посмотрела. А на поздних сроках и родить можно если кто-то посмотреть залезет.
04.01.2013
Ответить
Валерия
БПР это бипариетальный размер головы, ТВП это толщина воротникового пространства, ДБ это длина бедренной кости. Что такое ЛЗ не знаю, все перекопала и не нашла. Все показатели у вас в норме!!! ПОЗДРАВЛЯЮ!!!!!!!!!!!!
03.11.2011
Ответить
yayana
Да здорово))) в 12 недель мне малышка ручкой махала )) папа проникся? Параметры я тебе попрбую завтра расшифровать! ))) милаха на фото)))
02.11.2011
Ответить
Александра
Да папа тоже удивился и проникся. Мы думали там комочек только будет видно, а там уже пузатик кувыркается вовсю ))) Жаль что я этого еще не чувствую.
02.11.2011
Ответить