УЗИ 6 недель, ЭКО . Ставят под вопросом анэмбрионию
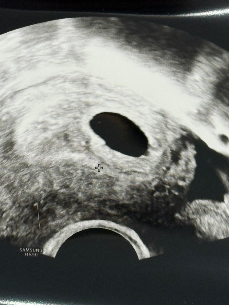
Результаты УЗИДевочки, всем привет! Расскажу немного пред историю. 6 ноября была подсадка эмбриона ( 5 дневка). С 14 дпп сдача хгч , фото динамики ниже. 1 декабря пришла на первое узи, плодное яйцо 7 мм, желточный мешок 2 мм, эмбрион не визуализируется, срок по узи 5 недель. Назначили хгч и повторе узи через неделю. Хгч вырос. Сегодня 8 декабря, пришла на узи , плодное яйцо 11 мм, жм 2 мм, эмбрион не видят. Врач сказала, что подозревает анэбрионию. Вышла и расплакалась от этого. Девочки, на каком сроке у вас был виден эмбрион? И может ли быть такое, что при наличии желточного мешка - нет эмбриона ?





Лучший ответ
Лето
Я насчитала 32дпп. Увы, сб уже должно быть, а у вас даже эмбриона нет.
3 дня
Ответить
Ирина
Не ждите 1,5 недели. Дней через 5 сходите на узи снова, может поискать какое то экспертное, с более точным оборудованием, как вариант.
3 дня
Ответить
Ксения Орлова
У меня на 21дпп(пятидневка) ХГЧ был 9т, а через три дня на узи эмбрион и сб+. Не хочу расстраивать, всё у всех индивидуально- но отсутствие эмбриона в 10т конечно странно! А ХГЧ растет потому что плодное яйцо растет- что логично. Если через неделю не появится эмбрион- очень жаль
3 дня
Ответить
Ася
Ксения Орлова, тут девочка ответила, что была анэмбриония и посоветовала хгч еще сдать. Сказала пя при такой ситуации у нее перестало расти. Вообще не знаю что думать. А ждать почти 2 недели, так я себя изведу (
3 дня
Ответить
Ксения Орлова
Ася, ХГЧ растет от того что ПЯ растет- вы поймите. Оно может расти, а эмбриона внутри нет. А потом остановится рост ПЯ и соответственно ХГЧ начнет падать. Вы раньше времени тоже не расстраивайтесь. Каждая беременность индивидуальна❗️Если аппарат современный- куда ходите на УЗИ, то попробуйте повторить в конце недели, а там уже видно будет
3 дня
Ответить
Ксения Орлова
Ася, у меня вообще на 6дпп ХГЧ был 1,9- Ревела белугой. Начиталась тут что это отсутствие б. А как итог день через день шевелюшки чувствую уже
3 дня
Ответить
Маргарита
Если я не ошибаюсь то у меня эмбрион увидели на 5-6 Нед тоже эко, но сердцебиение не было еще, сходила потом через неделю на узи уже всё показало. Очень много читала случаев что 5-6 недель не видно еще эмбриона а уже с 7-8 недели видать. Не переживайте сходите еще через неделю на узи 🙏🙏🙏
3 дня
Ответить
Лидия Федотова
Мне перенесли 8 ноября, на два дня позже вас. Результат узи прикладываю. Срок акушерский был 6и3, но по узи 5и5. Хгч у меня был в динамике
10дпп -160
12дпп- 395
14дпп - 1056
18дпп - 2257
Я думаю может у вас просто поздняя имплантация была, не расстраивайтесь, я б сходила в другое место на узи🫶🏻
Мне перенесли 8 ноября, на два дня позже вас. Результат узи прикладываю. Срок акушерский был 6и3, но по узи 5и5. Хгч у меня был в динамике
10дпп -160
12дпп- 395
14дпп - 1056
18дпп - 2257
Я думаю может у вас просто поздняя имплантация была, не расстраивайтесь, я б сходила в другое место на узи🫶🏻
3 дня
Ответить
Ася
Лидия Федотова, ух ты! Сроки получается почти одинаковые у нас. Уже планирую сдать хгч еще и записаться на узи в другую клинику, где другой аппарат узи
3 дня
Ответить
Лидия Федотова
Ася, не тратьте время, нервы и деньги, хгч уже не информативен на нашем сроке, его сдавать уже нет смысла. Вы просто поймите, придет результат к примеру 17000, вы по итогу будете нервничать, переживать и думать что это конец, а на самом деле просто хгч уже не должен удваиваться. Так что не переживайте, просто сходите в любую клинику завтра и сделайте узи, вы главное не переживайте. У всех всё индивидуально. Тем более рост хгч у вас был нормальный, и динамика есть. Я почему то склоняюсь что всё же просто поздняя имплантация или вообще узист или сам аппарат накасячили)))))
3 дня
Ответить
Ася
Лидия Федотова, спасибо, что написали) Я записалась на конец недели в другую клинику, там другой аппарат узи и врач. Как раз получу второе мнение специалиста
3 дня
Ответить
Лидия Федотова
Ася, вы потом хоть напишите как всё прошло! Буду за вас держать кулачки🩷🩷🩷
3 дня
Ответить
Надежда
На 25 дпп-эмбрион, сб+, 5.5нед.В стационаре девочкам ждали до 7 Нед, прежде, чем ставить окончательный диагноз
3 дня
Ответить
Все_будет_хорошо
Нет никакого смысла в сдачи хгч сейчас. Вам нужно искать эмбрион. На 32 дпп он однозначно должен быть, возможно, что-то не так с аппаратом.
3 дня
Ответить
Оставшиеся комментарии доступны после регистрации
Зарегистрируйтесь и получите полный доступ ко всем функциям сайта.