3 месяца с момента установки брекетов
Взрослые зубные проблемыДавайте сравнивать:
1 день

15 день

2 месяца



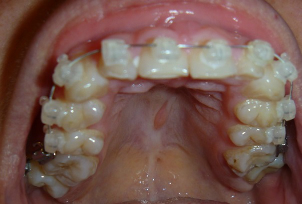
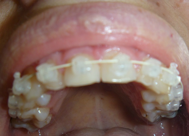
3 месяца



Оленька
Ничего себе,как здоровско!!!А сколько вам их носить?
Я вот только 10 июня поставила.....с нетерпением жду первых результатов)))
А почему дуга на верхнем ряде то светлая, а то металл?Со светлой их вообще не видать.
14.06.2013
Ответить
Юлечка (визажист)
Два года. Мини-ипотека - влезешь и обратно никак)Дуга с тефлоновым покрытием, а оно быстро облезает
15.06.2013
Ответить
Аринка
Правильно, красота требует жертв!
Самая первая фотка, зубы как бы, волнами,а уже сейчас ровненькие совсем.
Приеду не узнаю тебя!
13.06.2013
Ответить
Юлечка (визажист)
Чтобы тебе было легче, я надену тот пуховик, в котором была в день нашей первой встречи))
13.06.2013
Ответить
Аринка
Ой, Юль, да ладно, не надо! Как-то стремно будет смотреться девушка в пуховике летом!

13.06.2013
Ответить
Юлечка (визажист)
О, Юль, это философский вопрос) скажу так: привыкаешь ко всему) неудобно ограничиваться в еде. А еще иногда, когда зубы начинают двигаться, начинает колоться дуга. Похоже, как-будто тебе постоянно кто-то колет иглой щеку. Ну а так все ок))
12.06.2013
Ответить
Тата
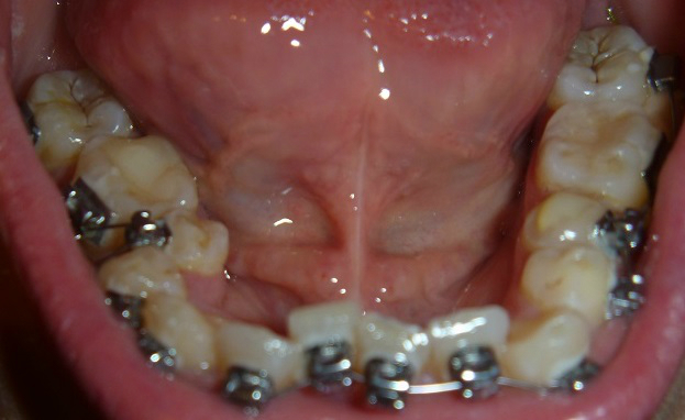
ух ты! Результаты супер!Уже такие ровные! А ты внизу поставила просто металл, да? Они, наверное, снизу не особо в глаза бросаются,да?
12.06.2013
Ответить
Юлечка (визажист)
Снизу металл, ага. А вот насчет видимости со стороны спросила сейчас мужа, говорит, незаметно
12.06.2013
Ответить