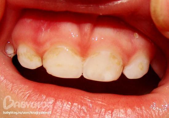
Что у нас кариес или ???
Алина здравствуйте, посмтрите пож-та, что это у нас?



Уже купила пасту Рокс чистим, и гель купила втираю....
Они сразу вылезли немного пятнистые, цвет не однородный....а когда прочла ваши посты, пригляделась , а там уже маленькие углубления....
Алина Русикова
Евгения, очень похоже на кариес. Еще можно использовать метод айкон- зубки останутся беленькими и здоровыми))))
09.01.2012
Ответить
Евгения
Алиночка я смотрела видео-ролик про Айкон, а как ребетенок вытерпит эту процедуру? или наркоз делать? там в ролике говорилось, что процедура не из приятных
09.01.2012
Ответить
Алина Русикова
Хммм, ничего неприятного нет... Только если подержать немного ребенка.
Наркоз...Конечно, нет!
09.01.2012
Ответить
Евгения
Алина мы сделали Айкон...нам сказали придти ещё через месяца 2, т.как ребенок плакал , даже орал скажем так и слюни мешали... Но вот посмотрите на результат..


12.01.2012
Ответить