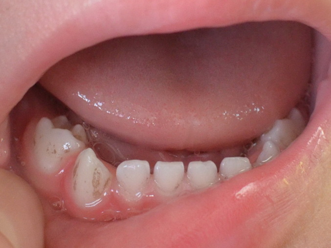
Это действительно налет?
Здравствуйте! Дочке 2г. В начале февраля заметила черный налет на нижнем правом клыке и жевательном, почти сразу пошли к стоматологу.


Врач быстро взглянул на указанные 2 зуба, малышка сразу начала орать и ее отпустили бегать по кабинету, а мне была прочитана лекция о том, что такое бывает от неправильного питания, от изжоги, от дисбактериоза, от местной воды и еще много от чего. Чаще всего от яблок. Сказал соблюдать строгую диету, убрать яблоки, ничего острого, ничего кислого, убрать изюм и вообще компот. Поить покупными соками, кроме яблочного, разбавляя их водой, воду покупать. Убрала компот - усугубились запоры (они кстати говоря появились примерно тогда же когда и налет, но не от питания, а от того что дочка научилась пользоваться горшком и соответственно терпеть). Воду ребенок не пьет. Покупные соки сплошь с лимонной кислотой, сомневаюсь в их безвредности.
Все так резко и быстро произошло, буквально за месяц-два. Лекарств никаких не пили, только витамин Д нам назначали в увеличенной дозировке (4 капли месяц пили). Примерно с начала января по рекомендации ортопеда стала добавлять в компот дольку лимона, потом еще и сушеные яблоки (компот пьет с года, варила слабенький из изюма-кураги-чернослива, 3 ч.л. сахара на 2 л воды, теперь сахар вообще не кладу), . Еще примерно тогда же сменили зубную щетку на более мягкую, РОКС. До этого с первого зуба была Jordan step by step 1. Пасту использовали все время РОКС, зубы чистим 2 раза в день после еды.
Сейчас вижу что налет забрался уже на все или почти все зубки. Подскажите, от чего это все-таки может быть и что с этим делать? Это действительно налет? Это опасно?