Фторирование. Что делать дальше?
Алина Владимировна, здравствуйте. Нужен совет.
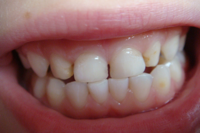
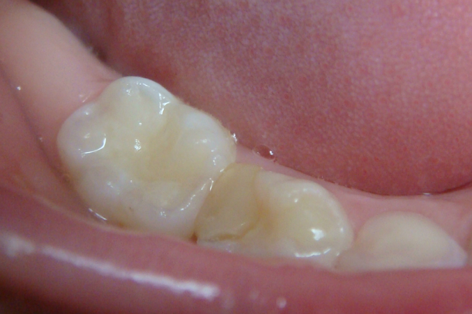
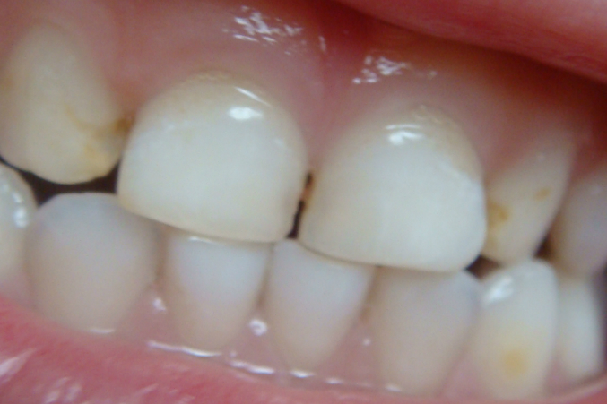
У ребенка кариес. Две пломбы. Раз в полгода ему фторировали зубки. Почитала ваш пост теперь в глубоких сомнениях. Меня беспокоят передние зубы. На них кариес видимый, но стоматолог ничего с ними не делает кроме фторирования. Пломбы стоят на дальних зубах, одна снизу, одна сверху. И пятно на одном из нижних резцов уже давно. Что можно и нужно делать в таких случаях? И еще у нас окраска двух передних зубов стала неровной...Прикрепляю фото, но не знаю как убрать их под кат.



Алина Русикова
Здравствуйте.
Да с центральными зубами можно уже ничего не делать))) хуже не будет становиться.
А вот пломбу на жевательном зубе стоит подкорректировать.... В таком состояние она до смены не прослужит(
31.05.2013
Ответить