Кариес
Алина Владимировна, спасибо за ваш ответ на наш вопрос.
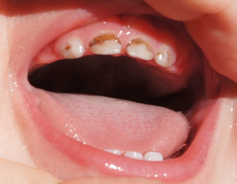
Мы сфотографировали наши посеребренные зубики.
Сразу они не почернели, а через два дня стали такими:



Смотрю, как она улыбается, а в ответ плакать хочется.
Мы обеспокоены тем, что, возможно, посеребрили нам поздно, и процедура больше навредит, чем принесет пользы. Так ли это, и в целом, каково состояние зубиков на Ваш взгляд?
Чистим зубки дважды в день пастой рокс, затем мажем гелем рокс медикал минералс.
zaisenak
Это 1 год.Я уже прочитала, что седация не для нас. Мы будем ждать полутора годиков хотя бы и поедем в Харабровск лечить зубки под наркозом... Подскажите, Алина Владимировна, Севоран - это лучшее, что на сегодняшний день есть в детской стоматологии из наркоза?
28.09.2013
Ответить
Алина Русикова
Здравствуйте.Вы правы- посеребрили Вам уже поздно.Такие зубы необходимо лечить,т.к. серебрение в таком случае не останавливает процесса.
21.09.2013
Ответить